症例詳細
Case detail
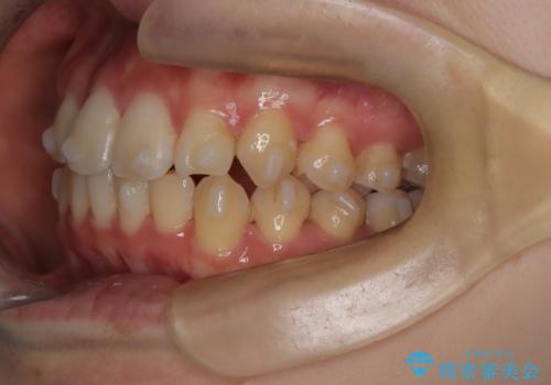
インビザラインで上下の叢生を改善
治療症例の内容
- 診療科目
- 治療カテゴリ
- 担当医
- 河口智英(ドクタープロフィール)
- 患者様
- 20代女性
- 治療期間
- 2年
- 治療回数
- 30回以上
- 治療計画
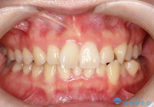
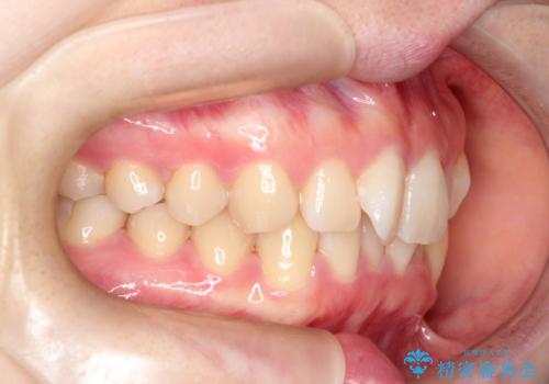
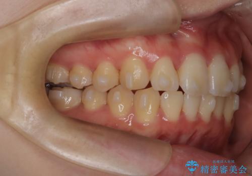
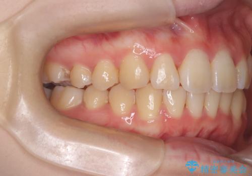
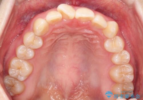
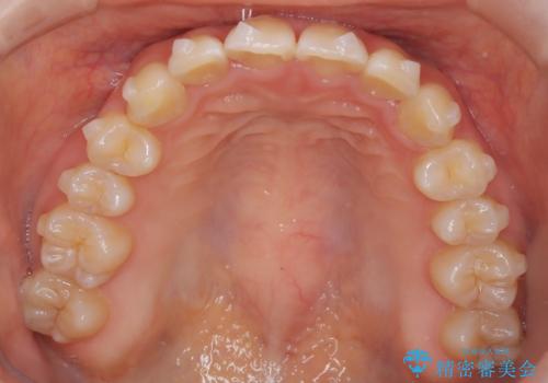
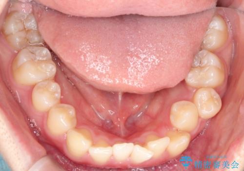
- 患者様は上下の歯列にガタガタ(叢生)があり、歯並びを整えたいとのご要望で来院されました。診断の結果、非抜歯での治療が可能であると判断し、歯列弓の拡大とIPR(歯間削合)を組み合わせた治療計画を立案しました。透明で目立たないインビザラインを使用し、歯並びの改善と自然な歯列弓の形状を目指しました。
- 費用(概算)
- 85万円費用は治療当時の料金となります
治療について
治療では、インビザラインを用いて歯列弓を拡大し、スペースを確保しました。さらに、IPRを行うことで、歯間の微調整を加えながら効率的に歯を整列させました。治療中は、装置の適切な装着時間を守ることが重要であり、患者様にも協力をお願いしました。また、歯肉や歯根に負担がかからないよう、歯の移動量を細かく調整しながら治療を進めました。結果として、上下の歯並びが整い、機能性と審美性を兼ね備えた自然な歯列を実現することができました。
マウスピース矯正の注意事項(リスク・副作用など)
- 口腔内・歯並びの状態によっては対応できない場合があります
- マウスピース型矯正装置の長時間装着(1日20時間以上)が必須です
- 治療計画通りに進めるためには、患者様の意志が重要になります
- 矯正治療後の保定が不十分だと後戻り(元の位置に戻ろうとする動き)をします
- 薬機法対象外の矯正歯科装置のため医薬品副作用被害救済制度の対象外となる場合があります
- 自費診療(保険適用外)となります
当サイトの内容、テキスト、画像等の無断転載、複製、複写、盗用を固く禁じます。















