症例詳細
Case detail
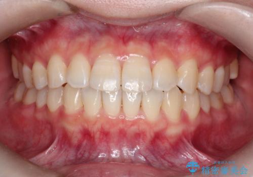
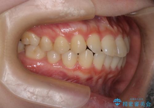
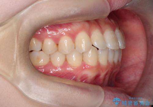
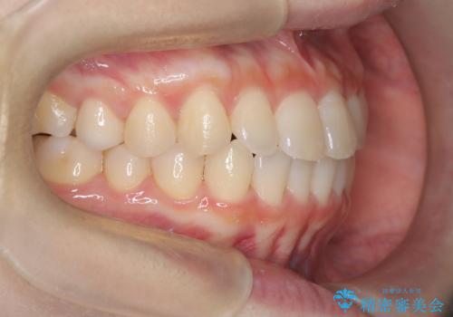
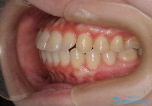
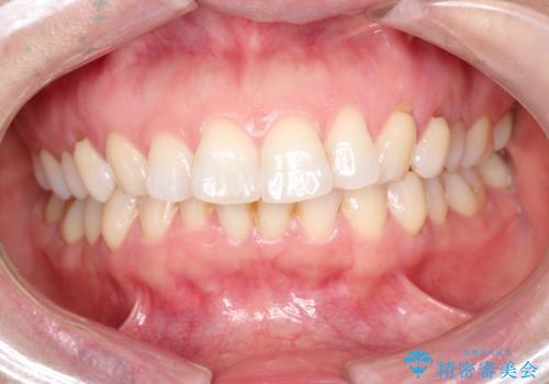
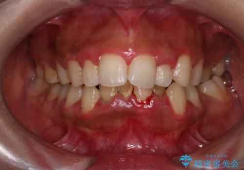
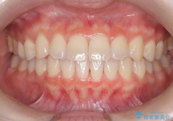
前歯と奥歯のガタガタを矯正で改善
治療症例の内容
- 診療科目
- 治療カテゴリ
- 担当医
- 河口智英(ドクタープロフィール)
- 患者様
- 30代女性
- 治療期間
- 2年
- 治療回数
- 30回以上
- 治療計画
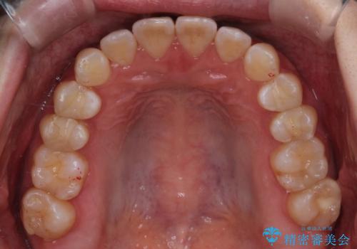
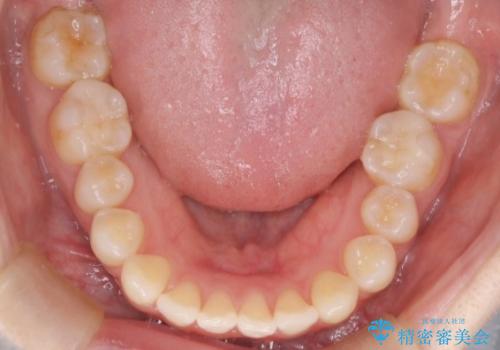
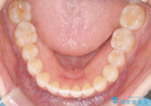
- 患者様は、前歯と奥歯のガタガタ(叢生)を改善し、正面から見た時の歯並びを美しく整えたいとのご要望で来院されました。診断の結果、非抜歯での矯正が可能と判断し、インビザラインを使用する治療計画を立案しました。透明な矯正装置で目立ちにくい治療を行いながら、前歯と奥歯の両方を整列させることを目標にしました。
- 費用(概算)
- 80万円費用は治療当時の料金となります
治療について
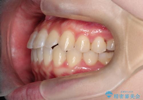
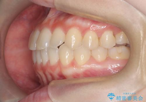
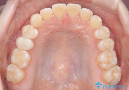
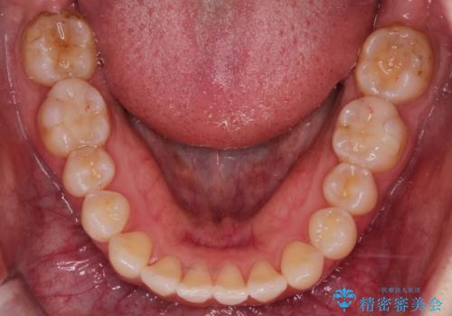
インビザラインを用いて、前歯の見た目を重視しつつ、奥歯のガタガタも改善しました。特に正面から見た際の美しい歯列を意識し、段階的に歯を移動させることで、全体の調和を図りました。治療中は、適切な装着時間を守ることや、装置の清潔を保つことが重要でした。また、歯肉や歯列全体に無理な負担がかからないように移動を管理しながら治療を進めました。結果として、前歯と奥歯がきれいに並び、見た目にも機能的にも満足いただける仕上がりとなりました。
マウスピース矯正の注意事項(リスク・副作用など)
- 口腔内・歯並びの状態によっては対応できない場合があります
- マウスピース型矯正装置の長時間装着(1日20時間以上)が必須です
- 治療計画通りに進めるためには、患者様の意志が重要になります
- 矯正治療後の保定が不十分だと後戻り(元の位置に戻ろうとする動き)をします
- 薬機法対象外の矯正歯科装置のため医薬品副作用被害救済制度の対象外となる場合があります
- 自費診療(保険適用外)となります
当サイトの内容、テキスト、画像等の無断転載、複製、複写、盗用を固く禁じます。















