症例詳細
Case detail
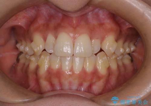
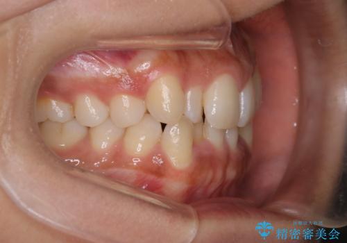
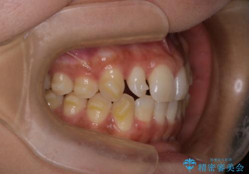
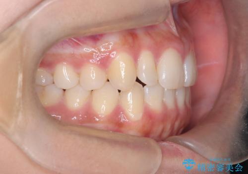
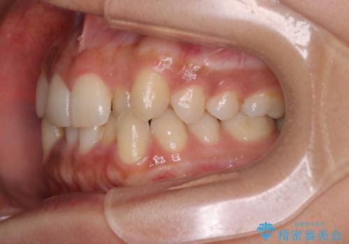
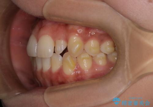
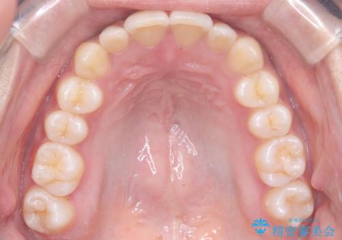
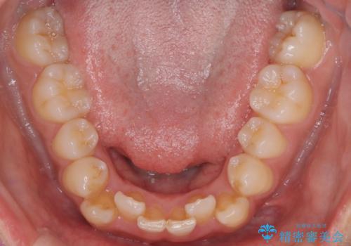
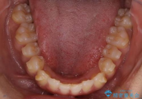
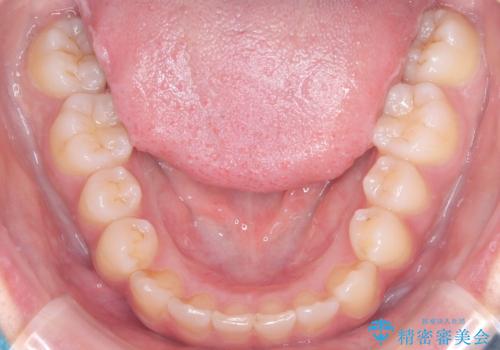
反対咬合と前歯のガタガタを非抜歯で改善
治療症例の内容
- 診療科目
- 担当医
- 河口智英(ドクタープロフィール)
- 患者様
- 20代女性
- 治療期間
- 2年
- 治療回数
- 10-30回
- 治療計画
- 患者様は、上下の前歯のガタガタと反対咬合(下の歯が上の歯より前に出ている状態)を主訴として来院されました。診断の結果、抜歯を行わずに治療を進めるため、臼歯を遠心移動させてスペースを作り、IPR(インタープロキシマルリダクション)で歯間を調整する治療計画を立てました。インビザラインを使用して、透明で目立たない矯正装置により、歯列を整えながら噛み合わせも改善することを目標としました。
- 費用(概算)
- 80万円費用は治療当時の料金となります
治療について
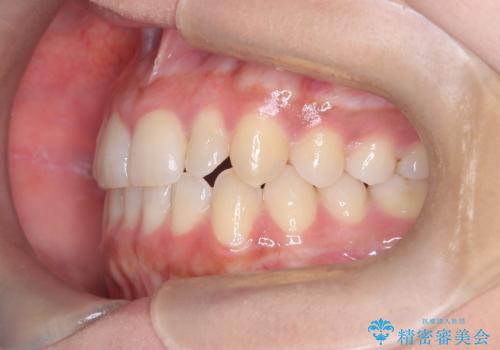
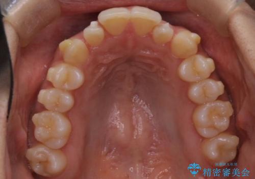
非抜歯での治療では、限られたスペースの中で効率的に歯を動かす必要があります。本症例では、臼歯を後方に移動させる遠心移動を行い、歯列のガタガタを改善しました。また、IPRを適切に行うことでスペースを確保し、歯根や歯肉への負担を最小限に抑えながら治療を進めました。インビザラインを使用することで、治療中も目立ちにくく、患者様の日常生活への影響を軽減しました。結果として、抜歯を行わずに美しい歯並びと自然な噛み合わせを実現し、患者様には大変満足していただけました。
マウスピース矯正の注意事項(リスク・副作用など)
- 口腔内・歯並びの状態によっては対応できない場合があります
- マウスピース型矯正装置の長時間装着(1日20時間以上)が必須です
- 治療計画通りに進めるためには、患者様の意志が重要になります
- 矯正治療後の保定が不十分だと後戻り(元の位置に戻ろうとする動き)をします
- 薬機法対象外の矯正歯科装置のため医薬品副作用被害救済制度の対象外となる場合があります
- 自費診療(保険適用外)となります
当サイトの内容、テキスト、画像等の無断転載、複製、複写、盗用を固く禁じます。















