症例詳細
Case detail
検診で見つかった齲蝕のセラミックインレー修復
治療症例の内容
- 診療科目
- 治療カテゴリ
- 担当医
- 齋藤佑磨(ドクタープロフィール)
- 患者様
- 40代女性
- 治療期間
- 1ヶ月
- 治療回数
- 2-5回
- 治療計画
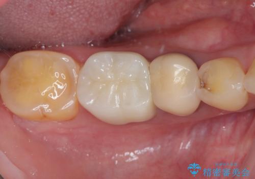
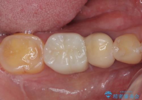
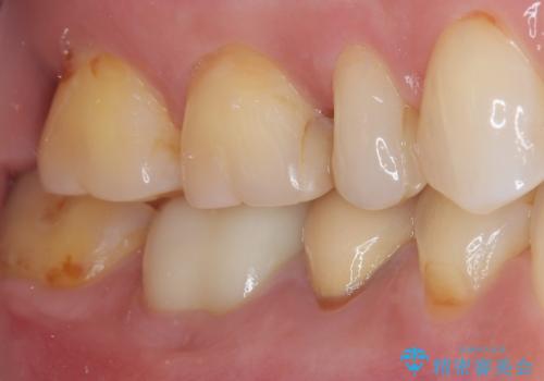
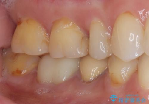
- 検診で初期の齲蝕が見つかった患者様です。
これ以上神経の治療や被せものになりたくないため、初期のうちにしっかりとした治療をしたいとのことでした。
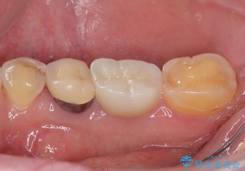
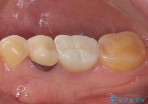
齲蝕をしっかりと除去して、精度の高いシリコーンによる型どりを行いセラミックインレーで修復しました。
唾液による接着阻害を防ぐために、ラバーダム防湿を行っています。
- 費用(概算)
- 8万円(税込)費用は治療当時の料金となります
治療について
精度の高い治療は再度齲蝕になるリスクが低いです。
セラミック治療の注意事項(リスク・副作用など)
- 天然歯を削ります
- 硬い素材は天然歯を傷つけてしまう場合があります
- かみ合わせや歯ぎしりが強すぎる方はセラミックが割れてしまう可能性があります
- 自費診療(保険適用外治療)となります
当サイトの内容、テキスト、画像等の無断転載、複製、複写、盗用を固く禁じます。









