症例詳細
Case detail
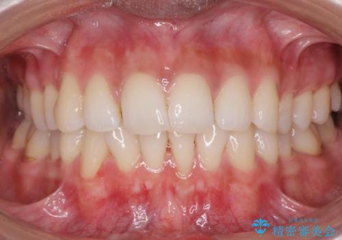
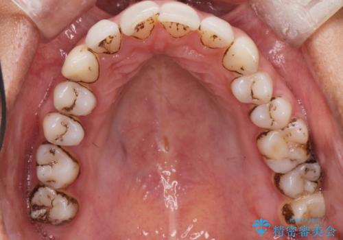
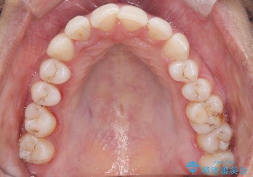
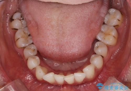
着色が気になる(エアフロー)
治療症例の内容
- 診療科目
- 治療カテゴリ
- 担当医
- 青山卓弘(ドクタープロフィール)
- 患者様
- 20代女性
- 治療期間
- 1ヶ月
- 治療回数
- 1回
- 治療計画
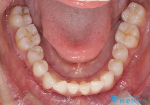
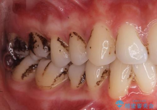
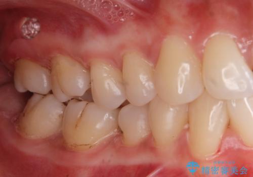
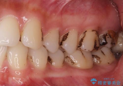
- 着色が気になるとの事で来院。
エアフローでしっかり着色を取り除きました。
- 費用(概算)
- エアフロー(1時間コース)1.1万円費用は治療当時の料金となります
治療について
着色が目立たなくなり大変満足して頂けました。
PMTCの注意事項(リスク・副作用など)
- 歯を白くする目的の施術ではありません
- 保険適用外となります
その他の注意事項(リスク・副作用など)
- 担当歯科医師、歯科衛生士又は医院スタッフから受けた説明・注意事項をよくご確認ください
- 医療を提供するに当たり、適切な説明を行い、患者様の十分な理解を得るよう努めております
当サイトの内容、テキスト、画像等の無断転載、複製、複写、盗用を固く禁じます。










