症例詳細
Case detail
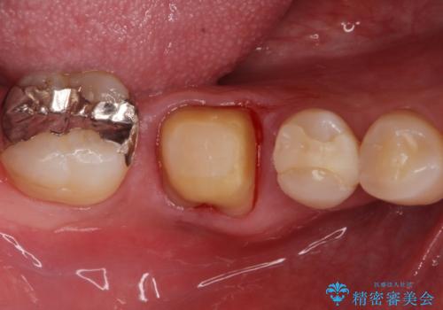
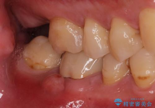
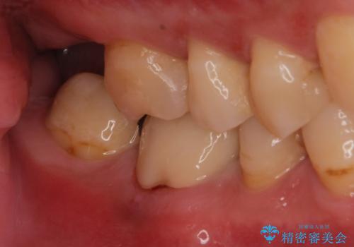
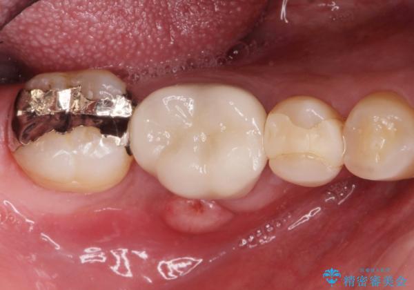
歯茎が腫れた。ジルコニアクラウンやりかえ。
治療症例の内容
- 担当医
- 青山卓弘(ドクタープロフィール)
- 患者様
- 20代男性
- 治療期間
- 治療回数
- 2-5回
- 治療計画
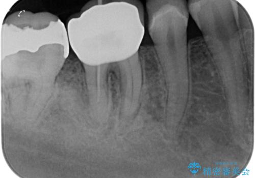
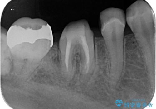
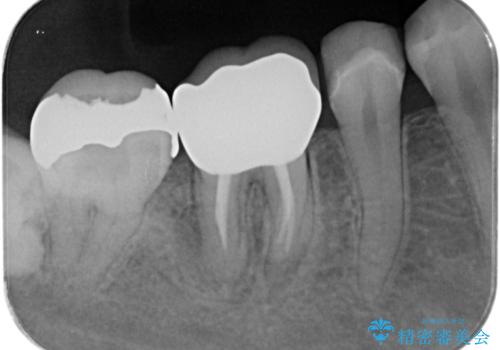
- メンテナンスで来院された患者様です。
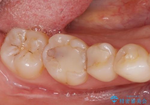
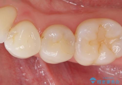
歯茎が腫れたとの事で歯の神経が失活していたので精密根管治療を行い、ジルコニアクラウンで治療を行いました。
- 費用(概算)
- ジルコニアクラウンスタンダード・仮歯 12.1万円 精密根管治療(イニシャルトリートメント)・ファイバーコア 13.2万円費用は治療当時の料金となります
治療について
神経が失活しているので痛みは感じにくいですがこのまま放置をしてしまうと骨が溶けたり痛みが出たりします。
このように歯茎にニキビみたいな物が出た場合、あるいは存在する場合すぐに歯科医院に相談することをおすすめします。
セラミック治療の注意事項(リスク・副作用など)
- 天然歯を削ります
- 硬い素材は天然歯を傷つけてしまう場合があります
- かみ合わせや歯ぎしりが強すぎる方はセラミックが割れてしまう可能性があります
- 自費診療(保険適用外治療)となります
その他の注意事項(リスク・副作用など)
- 担当歯科医師、歯科衛生士又は医院スタッフから受けた説明・注意事項をよくご確認ください
- 医療を提供するに当たり、適切な説明を行い、患者様の十分な理解を得るよう努めております
根管治療の注意事項(リスク・副作用など)
- 根管治療により類似の全ての症例の問題が解決するわけではなく、症例はあくまでも一例です
- 根管治療により痛みや腫れがひかない事や、術後に痛みや腫れが生じる事、治療によるファイル破折やパーフォレーションなどの偶発症、術後の歯根破折を生じる可能性もあります
- 自費診療(保険適用外)となります
当サイトの内容、テキスト、画像等の無断転載、複製、複写、盗用を固く禁じます。








