症例詳細
Case detail
虫歯をセラミックで治療
治療症例の内容
- 診療科目
- 担当医
- 井上季実子(ドクタープロフィール)
- 患者様
- 30代女性
- 治療期間
- 2ヶ月
- 治療回数
- 2-5回
- 治療計画
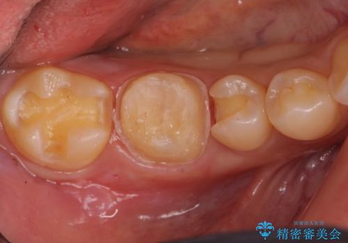
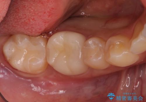
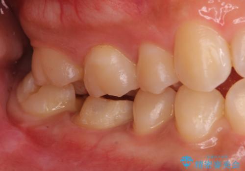
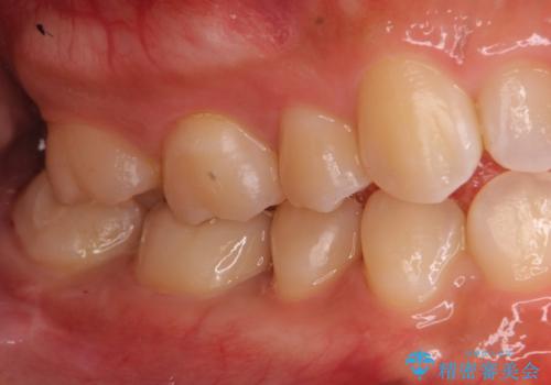
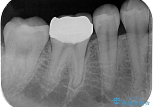
- 右下の保険治療での樹脂の劣化、および歯と歯の間の虫歯をセラミックのつめもので治療しました。
- 費用(概算)
- 28.6万円費用は治療当時の料金となります
治療について
右下6番はセラミックのアンレーが入っていましたが、強度の問題もあり、やり直し後はクラウンとしました。
セラミック治療の注意事項(リスク・副作用など)
- 天然歯を削ります
- 硬い素材は天然歯を傷つけてしまう場合があります
- かみ合わせや歯ぎしりが強すぎる方はセラミックが割れてしまう可能性があります
- 自費診療(保険適用外治療)となります
当サイトの内容、テキスト、画像等の無断転載、複製、複写、盗用を固く禁じます。







