症例詳細
Case detail
銀歯が外れてしまったのでセラミックにやり替えたい。セラミックインレー修復
治療症例の内容
- 診療科目
- 治療カテゴリ
- 担当医
- 齋藤佑磨(ドクタープロフィール)
- 患者様
- 20代女性
- 治療期間
- 1ヶ月
- 治療回数
- 2-5回
- 治療計画
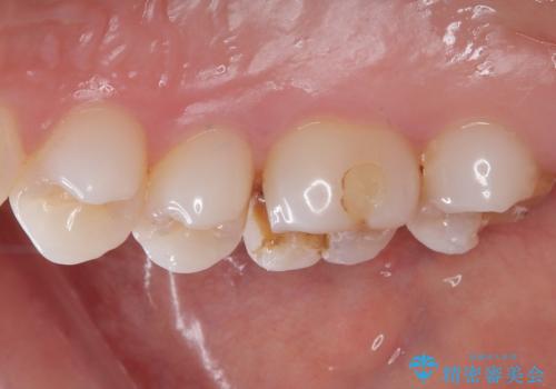
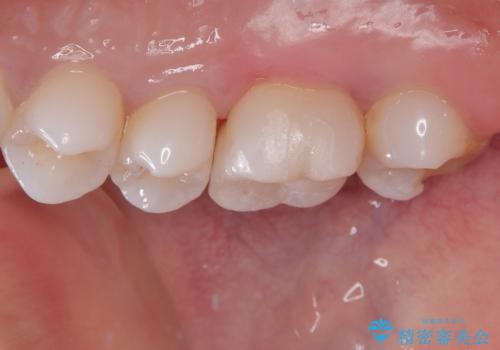
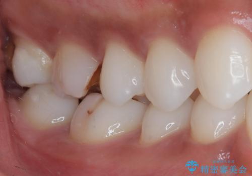
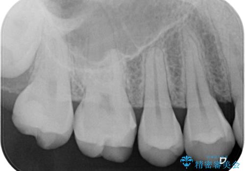
- 銀歯の詰め物が外れてしまったので、これを機にセラミックにやり替えたいと来院されれた患者様です。
虫歯になってしまっているところをしっかりと除去し、形を整えて、精度の高いシリコーンによる型どりを行いました。
また、インレー接着時には唾液や血液による接着力の低下を防ぐためにラバーダム防湿を行っています。
- 費用(概算)
- 8万円(税込)費用は治療当時の料金となります
治療について
精度の高い詰め物は二次的な齲蝕になりにくいです。
セラミック治療の注意事項(リスク・副作用など)
- 天然歯を削ります
- 硬い素材は天然歯を傷つけてしまう場合があります
- かみ合わせや歯ぎしりが強すぎる方はセラミックが割れてしまう可能性があります
- 自費診療(保険適用外治療)となります
当サイトの内容、テキスト、画像等の無断転載、複製、複写、盗用を固く禁じます。









