症例詳細
Case detail
奥歯のインプラント
治療症例の内容
- 担当医
- 井上季実子(ドクタープロフィール)
- 患者様
- 30代男性
- 治療期間
- 6ヶ月
- 治療回数
- 5-10回
- 治療計画
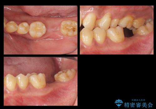
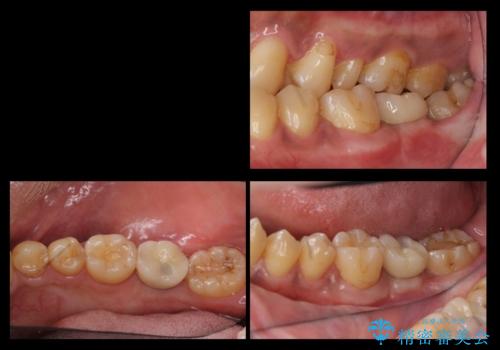
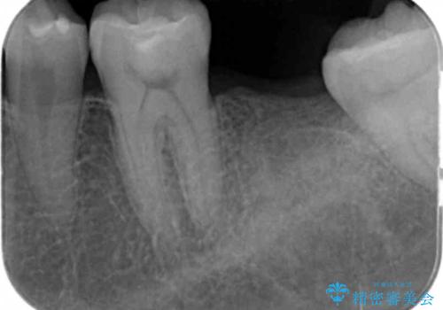
- 奥歯が割れたあと、他院で抜歯したところにインプラントを希望して来院。2回法で行いました。
- 費用(概算)
- 49.5万円費用は治療当時の料金となります
治療について
奥歯を抜いたまま放置すると後方の歯が前に倒れこんでしまい、かみ合わせやその後の治療に支障がでます。早めに処置することをおすすめします。
インプラント治療の注意事項(リスク・副作用など)
- 外科手術のため、術後に痛みや腫れ、違和感を伴います
- メンテナンスを怠ったり喫煙により、お口の中に大きな悪影響を及ぼすインプラント周囲炎等にかかる可能性があります
- 糖尿病、肝硬変、心臓病等の場合、インプラント治療ができない可能性があります
- 高血圧、貧血・不整脈等の場合、インプラント治療後に治癒不全を招く可能性があります
- 自費診療(保険適用外治療)となります
当サイトの内容、テキスト、画像等の無断転載、複製、複写、盗用を固く禁じます。







