症例詳細
Case detail
飛び出ている出っ歯を治したい 目立たない装置での抜歯矯正治療
治療症例の内容
- 診療科目
- 担当医
- 藤巻太一朗(ドクタープロフィール)
- 患者様
- 20代女性
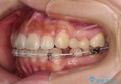
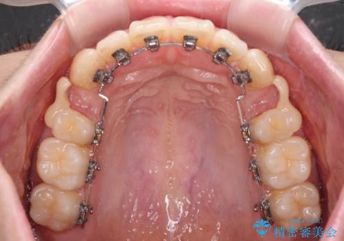
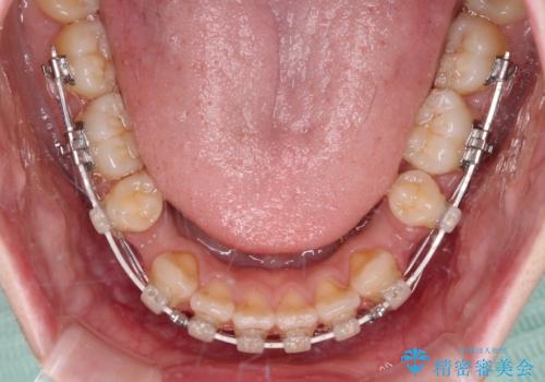
- 矯正装置
- ハーフリンガル
- 治療期間
- 3年2ヶ月
- 治療回数
- 30回以上
- 治療計画
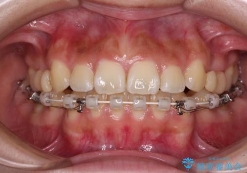
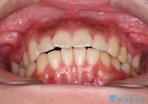
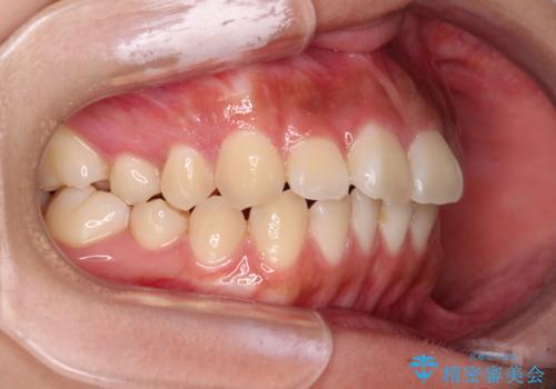
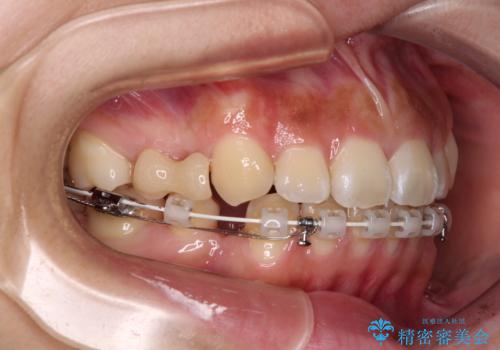
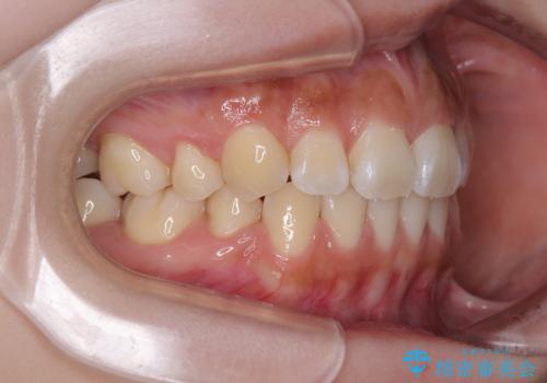
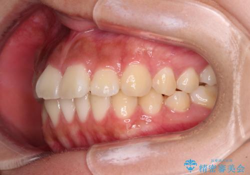
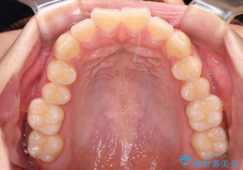
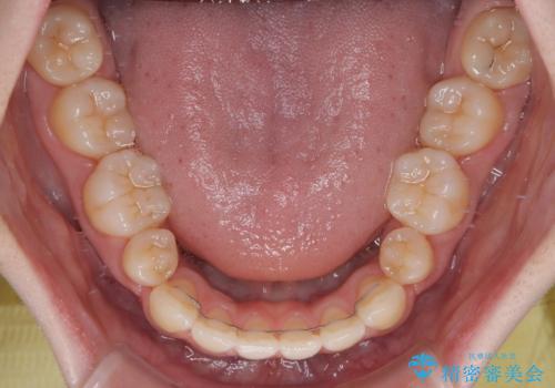
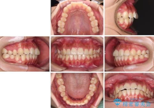
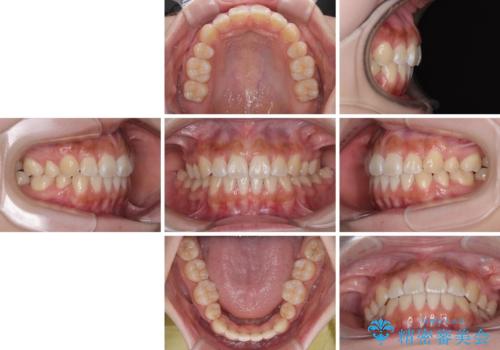
- 口元から飛び出てしまう前歯を気にして来院された患者様です。
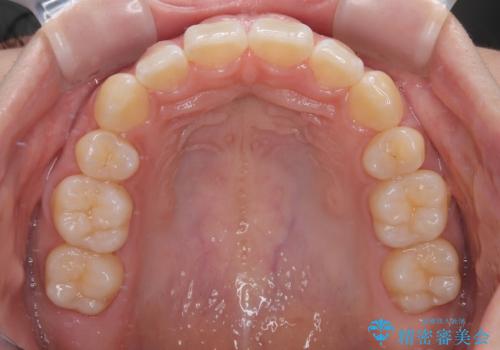
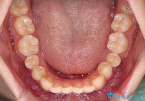
上下前歯が嘴のように前方に突出しており、唇が閉じにくい状態であったため、上下左右の第一小臼歯4本を抜歯して、口元の突出感を改善することとしました。
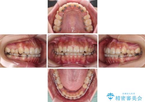
目立たない装置を希望とのことで、上顎が裏側、下顎が表側のハーフリンガル装置を用いることとしました。
- 費用(概算)
- 治療費の目安: 125万円(税込)費用は治療当時の料金となります
治療について
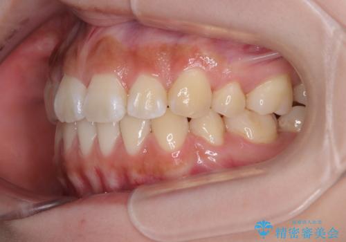
口元の印象が劇的に解消され、気にしていたガミースマイルも図らずも改善することができました。
ワイヤー矯正の注意事項(リスク・副作用など)
- 治療中は違和感や痛みが起こることがあります
- 症状により、抜歯が必要な場合があります
- 治療中は歯磨きがしにくくなるため、虫歯や歯周病になりやすくなります
- 矯正治療後の保定が不十分だと後戻り(元の位置に戻ろうとする動き)をします
- 自費診療(保険適用外)となります
当サイトの内容、テキスト、画像等の無断転載、複製、複写、盗用を固く禁じます。


























