症例詳細
Case detail
前歯の色・形が気になる オールセラミッククラウンで綺麗に (アライナー矯正併用)
治療症例の内容
- 診療科目
- 治療カテゴリ
- 担当医
- 患者様
- 20代女性
- 治療期間
- 治療回数
- 2-5回
- 治療計画
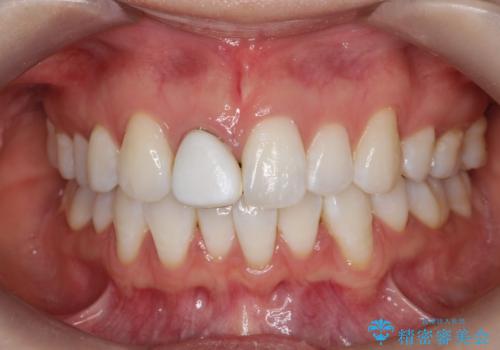
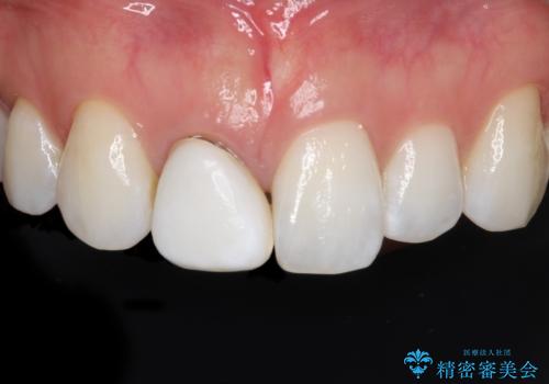
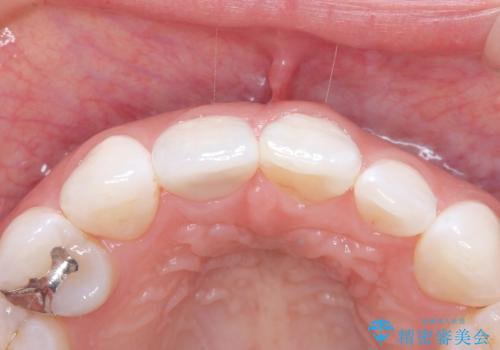
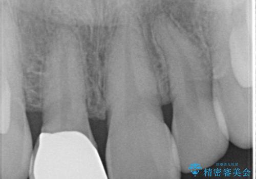
- 患者様は、前歯の被せ物の形や色が不自然で気になるというお悩みを抱えて来院されました。
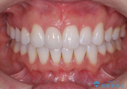
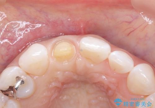
診察の結果、既存の被せ物は古い素材で作られており、周囲の歯との調和が難しいことが分かりました。患者様とカウンセリングを重ね、アライナー矯正で歯列のガタツキを修正後、。より自然で審美的な仕上がりを目指してオールセラミッククラウンでの治療を提案しました。
- 費用(概算)
- 15.4万円(アライナー矯正代は含まない)費用は治療当時の料金となります
治療について
オールセラミッククラウンは、金属を使用しないため、自然光の下でも透過性が高く、天然歯と見分けがつかないほど美しい仕上がりが得られる素材です。また、金属アレルギーの心配がなく、長期間使用しても歯ぐきへの影響が少ないという利点があります。
セラミック治療の注意事項(リスク・副作用など)
- 天然歯を削ります
- 硬い素材は天然歯を傷つけてしまう場合があります
- かみ合わせや歯ぎしりが強すぎる方はセラミックが割れてしまう可能性があります
- 自費診療(保険適用外治療)となります
当サイトの内容、テキスト、画像等の無断転載、複製、複写、盗用を固く禁じます。












