症例詳細
Case detail
【セラミッククラウン】銀の詰め物していた歯が割れた
治療症例の内容
- 診療科目
- 治療カテゴリ
- 担当医
- 町田睦月(ドクタープロフィール)
- 患者様
- 30代女性
- 治療期間
- 1ヶ月
- 治療回数
- 2-5回
- 治療計画
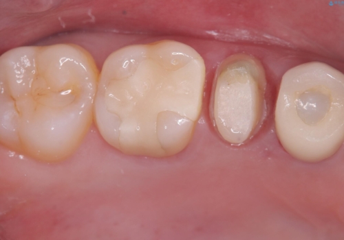
- 主訴:銀の詰め物を入れている歯が割れてしまった。
右上5番に保険適応のインレーが入っている歯がインレーを境に2つに割れてしまっていました。
露出した歯質には深いう蝕があり、一部神経を除去するもしくは全て神経を除去する可能性を説明し残存歯質量と破折リスクの観点からセラミッククラウンでの補綴修復しました。
- 費用(概算)
- 176,000円費用は治療当時の料金となります
治療について
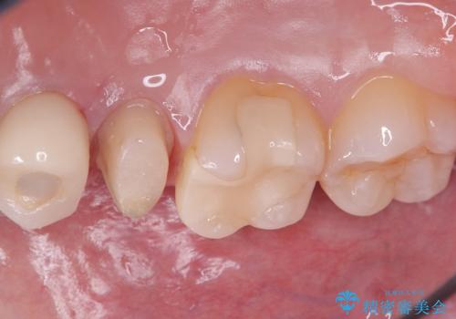
右上5番の口蓋側歯質が失われ、露出した歯質内面は軟化象牙質を除去していく過程で露髄する可能性が大きくありました。患者さんには生活歯髄療法と抜髄のどちらかになると説明し、生活歯髄療法の適応と判断し行いました。
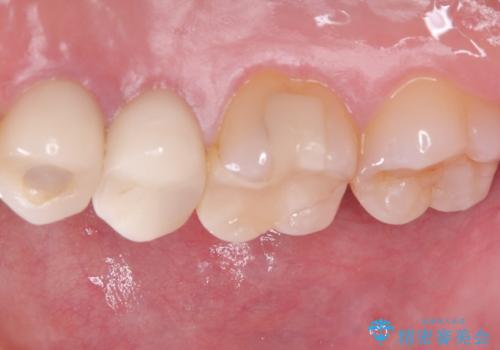
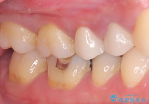
補綴物は残存歯質量からクラウンとしました。
治療費内訳
・生活歯髄療法 40,000円(税抜き)
・仮歯 10,000円(税抜き)
・オールセラミッククラウン(スタンダード)110,000円(税抜き)
セラミック治療の注意事項(リスク・副作用など)
- 天然歯を削ります
- 硬い素材は天然歯を傷つけてしまう場合があります
- かみ合わせや歯ぎしりが強すぎる方はセラミックが割れてしまう可能性があります
- 自費診療(保険適用外治療)となります
根管治療の注意事項(リスク・副作用など)
- 根管治療により類似の全ての症例の問題が解決するわけではなく、症例はあくまでも一例です
- 根管治療により痛みや腫れがひかない事や、術後に痛みや腫れが生じる事、治療によるファイル破折やパーフォレーションなどの偶発症、術後の歯根破折を生じる可能性もあります
- 自費診療(保険適用外)となります
当サイトの内容、テキスト、画像等の無断転載、複製、複写、盗用を固く禁じます。














