症例詳細
Case detail
【セラミックインレー】海外に行く前に虫歯治療してほしい
治療症例の内容
- 診療科目
- 治療カテゴリ
- 担当医
- 町田睦月(ドクタープロフィール)
- 患者様
- 50代男性
- 治療期間
- 1ヶ月
- 治療回数
- 2-5回
- 治療計画
- 主訴:海外に行く前に虫歯があるなら全部しっかり治したい。
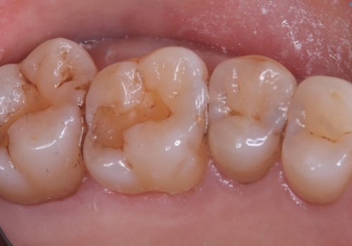
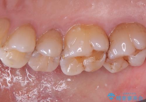
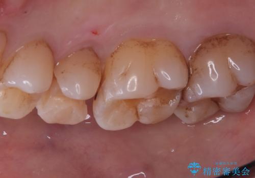
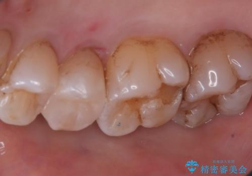
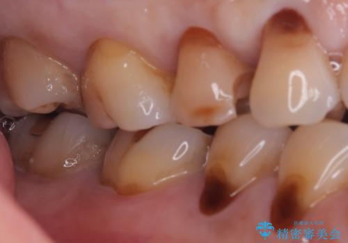
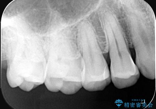
右上5番にう蝕があり、審美性・適合性・材料安定性の高いセラミックインレーでのやり替えとなりました。
- 費用(概算)
- 77,000円費用は治療当時の料金となります
治療について
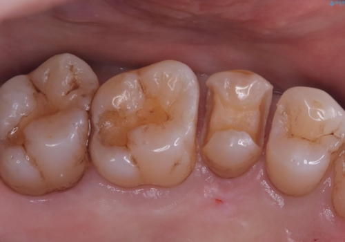
右上5番の近遠心にう蝕が認められたため、CR裏層の後MOD窩洞のセラミックインレーとしました。
インレーセット時はラバーダム防湿を行っています。
セラミック治療の注意事項(リスク・副作用など)
- 天然歯を削ります
- 硬い素材は天然歯を傷つけてしまう場合があります
- かみ合わせや歯ぎしりが強すぎる方はセラミックが割れてしまう可能性があります
- 自費診療(保険適用外治療)となります
当サイトの内容、テキスト、画像等の無断転載、複製、複写、盗用を固く禁じます。












