症例詳細
Case detail
骨隆起除去とマウスピース矯正
治療症例の内容
- 治療カテゴリ
- 担当医
- 大元洋佑(ドクタープロフィール)
- 患者様
- 40代女性
- 矯正装置
- インビザライン
- 治療期間
- 1年6ヶ月
- 治療回数
- 10-30回
- 治療計画
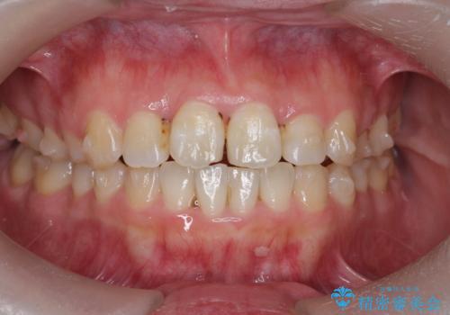
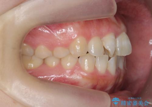
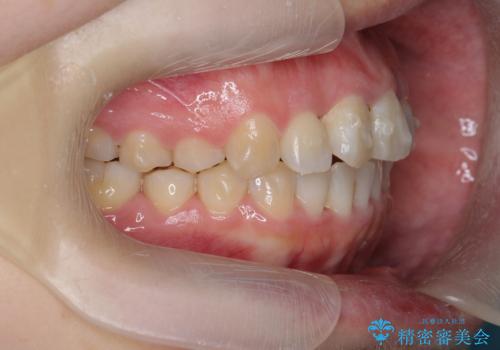
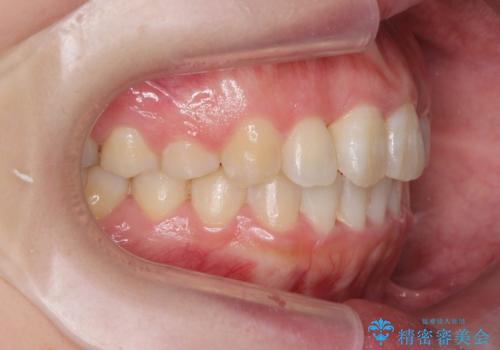
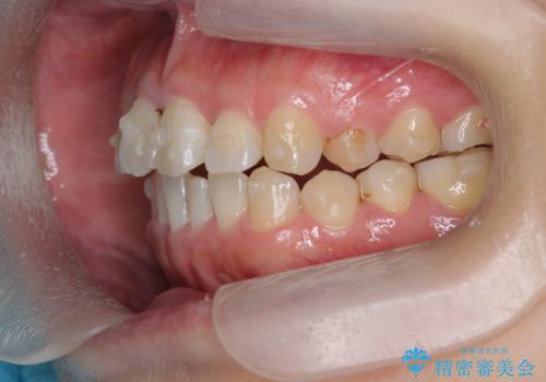
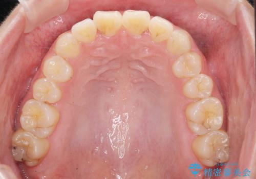
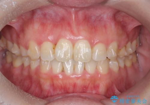
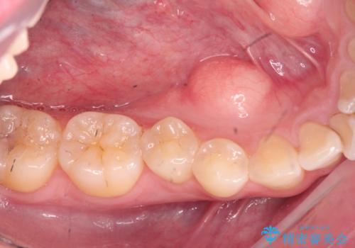
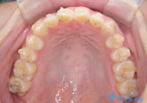
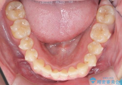
- 前歯のねじれを改善したい、と矯正治療を希望され来院されました。
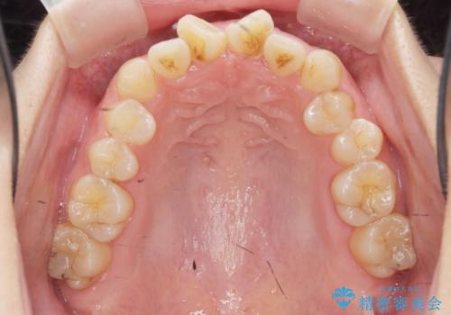
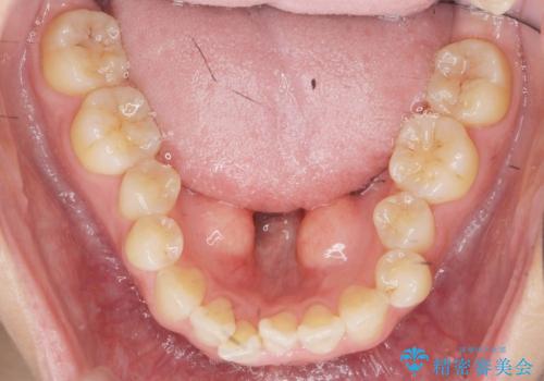
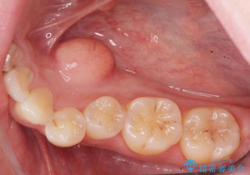
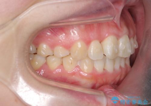
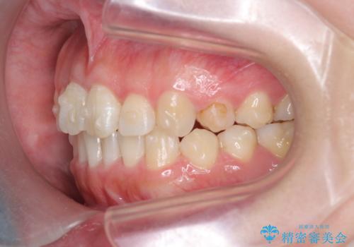
上下の歯のがたつきを改善するマウスピース矯正治療と、下顎に見られる大きな骨隆起を外科的に除去する治療計画を進めていきます。
骨隆起の除去は、静脈内鎮静法を用いてほとんど記憶のないうちに行うことができます。
- 費用(概算)
- 88万円費用は治療当時の料金となります
治療について
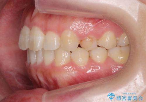
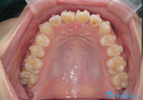
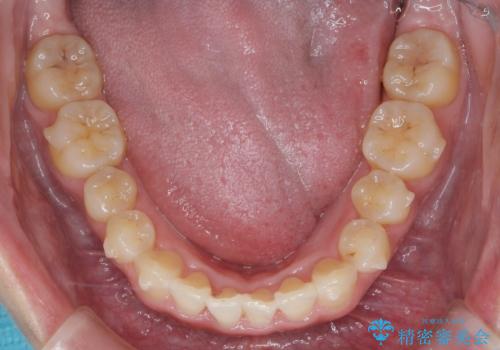
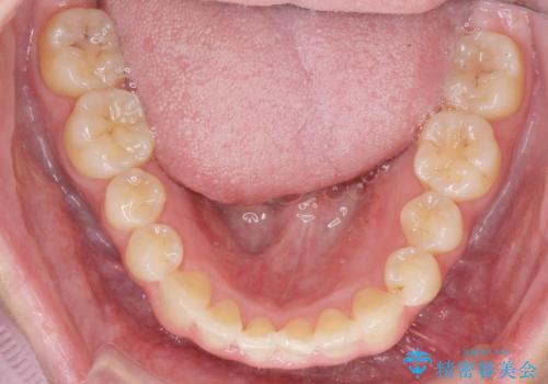
歯並びが改善したとともに、骨隆起を除去したことで舌をしまうスペースも増え安定した口腔内環境を確立することができました。
外科処置の注意事項(リスク・副作用など)
- 外科手術のため、術後に出血、痛みや腫れ、違和感を伴います
- 口腔内の状態によっては適応できないことがあります
マウスピース矯正の注意事項(リスク・副作用など)
- 口腔内・歯並びの状態によっては対応できない場合があります
- マウスピース型矯正装置の長時間装着(1日20時間以上)が必須です
- 治療計画通りに進めるためには、患者様の意志が重要になります
- 矯正治療後の保定が不十分だと後戻り(元の位置に戻ろうとする動き)をします
- 薬機法対象外の矯正歯科装置のため医薬品副作用被害救済制度の対象外となる場合があります
- 自費診療(保険適用外)となります
当サイトの内容、テキスト、画像等の無断転載、複製、複写、盗用を固く禁じます。


























