症例詳細
Case detail
入れ歯が全く使えない 奥歯のインプラント治療
治療症例の内容
- 治療カテゴリ
- 担当医
- 藤巻太一朗(ドクタープロフィール)
- 患者様
- 70代女性
- 治療期間
- 3ヶ月
- 治療回数
- 5-10回
- 治療計画
- 奥歯がなく、作ってもらった入れ歯もうまく使えないため、インプラント治療を希望して来院された患者様です。
入れ歯を装着すると咬み合わせの位置が大きく変化することが、入れ歯を使用できない理由でしたが、とにかく煩わしいのでインプラント治療を行いたいとのことでした。
インプラント埋入時に骨とインプラントの安定性を測定し、可能な限り早期に仮歯による咬合回復を図ることを前提に、インプラント補綴治療を行うこととしました。
- 費用(概算)
- 治療費の目安: 100万円(税込)費用は治療当時の料金となります
治療について
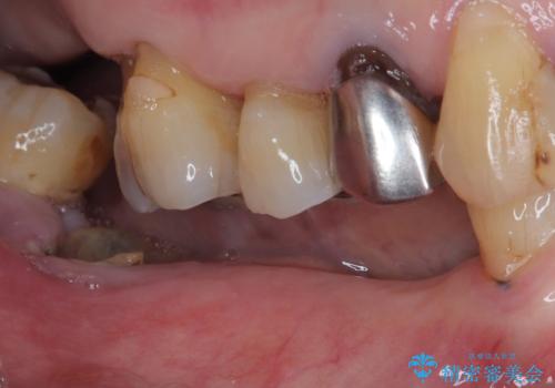
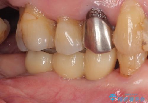
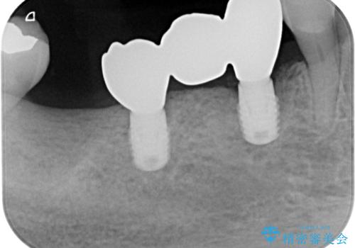
インプラント埋入時に仮歯を装着させることが可能な安定値が得られたため、その日に仮歯の装着を行いました。
咬合時に仮歯が噛み合わないように調整はしたのですが、反対側の奥歯も欠損していることから、食事中積極的に仮歯で咀嚼をしてしまい、2週間後には大きく安定値が低下してしまいました。
仮歯を速やかに撤去して力が一切かからない状態とし、1か月後と2か月後にそれぞれ安定値を測定することしました。
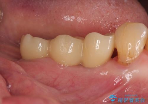
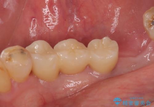
2か月後には無事に値が回復したため、セラミッククラウンにて補綴治療を行いました。
インプラント治療の注意事項(リスク・副作用など)
- 外科手術のため、術後に痛みや腫れ、違和感を伴います
- メンテナンスを怠ったり喫煙により、お口の中に大きな悪影響を及ぼすインプラント周囲炎等にかかる可能性があります
- 糖尿病、肝硬変、心臓病等の場合、インプラント治療ができない可能性があります
- 高血圧、貧血・不整脈等の場合、インプラント治療後に治癒不全を招く可能性があります
- 自費診療(保険適用外治療)となります
セラミック治療の注意事項(リスク・副作用など)
- 天然歯を削ります
- 硬い素材は天然歯を傷つけてしまう場合があります
- かみ合わせや歯ぎしりが強すぎる方はセラミックが割れてしまう可能性があります
- 自費診療(保険適用外治療)となります
当サイトの内容、テキスト、画像等の無断転載、複製、複写、盗用を固く禁じます。













