症例詳細
Case detail
【モニター】前に傾斜した前歯 インビザラインでスッキリとした口元に
治療症例の内容
- 診療科目
- 治療カテゴリ
- 担当医
- 藤巻太一朗(ドクタープロフィール)
- 患者様
- 30代女性
- 矯正装置
- インビザライン
- 治療期間
- 3年10ヶ月
- 治療回数
- 10-30回
- 治療計画
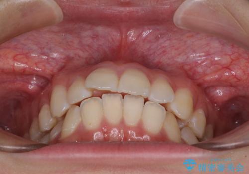
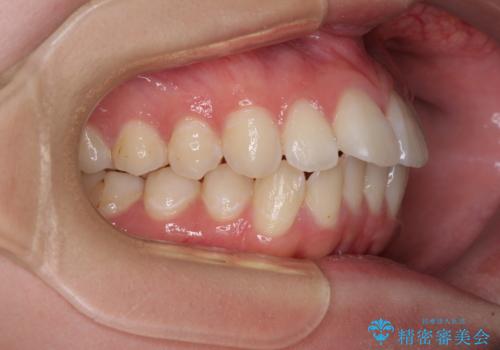
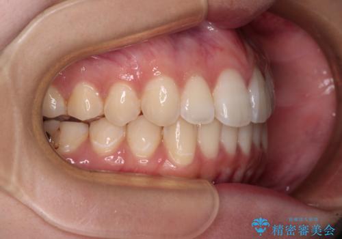
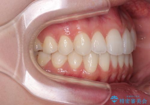
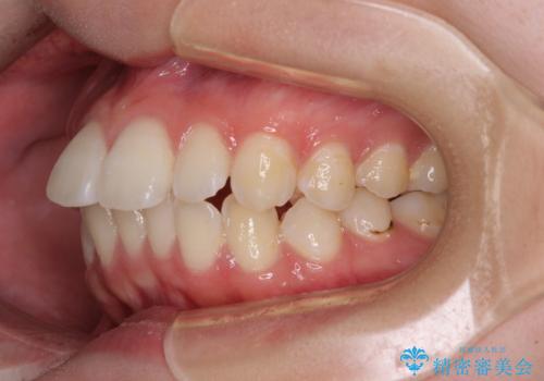
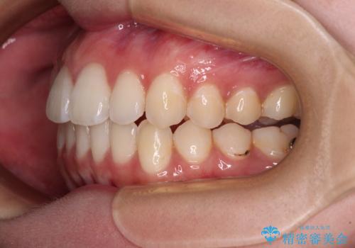
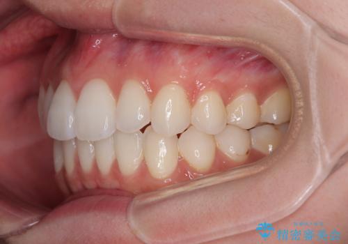
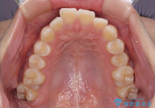
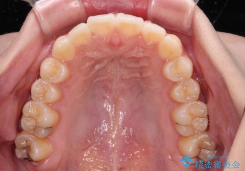
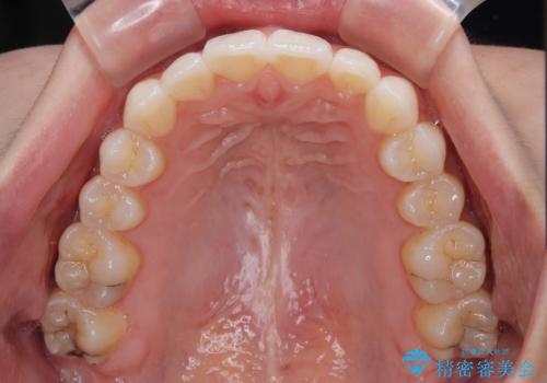
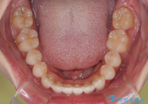
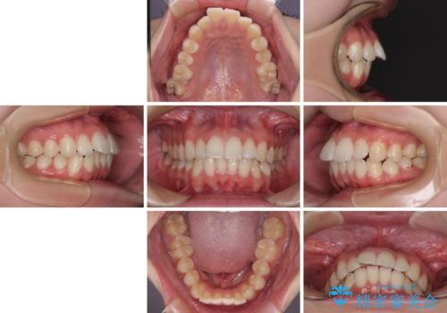
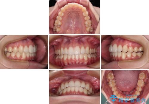
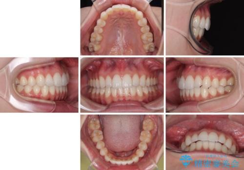
- 飛び出した上の前歯やデコボコを気にして来院された患者様です。
上下前歯の突出感とデコボコを気にして来院された患者様です。
インビザラインによる上下歯列の側方拡大と後方移動、必要に応じてIPR(歯と歯の間を削る)によりスペースの獲得により歯列を整えることとしました。
- 費用(概算)
- 治療費の目安: 73万円(税込)費用は治療当時の料金となります
※顔写真掲載にあたり、患者様の了解を得ております
治療について
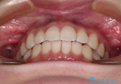
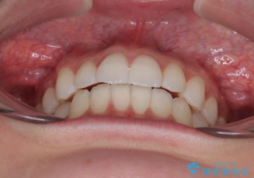
治療途中、出産や転居があり、2年ほど治療期間が長くなってしまいましたが、前歯の歯並びや飛び出した感覚を無事に改善させることができました。
マウスピース矯正の注意事項(リスク・副作用など)
- 口腔内・歯並びの状態によっては対応できない場合があります
- マウスピース型矯正装置の長時間装着(1日20時間以上)が必須です
- 治療計画通りに進めるためには、患者様の意志が重要になります
- 矯正治療後の保定が不十分だと後戻り(元の位置に戻ろうとする動き)をします
- 薬機法対象外の矯正歯科装置のため医薬品副作用被害救済制度の対象外となる場合があります
- 自費診療(保険適用外)となります
当サイトの内容、テキスト、画像等の無断転載、複製、複写、盗用を固く禁じます。

























