症例詳細
Case detail
サクソフォン(アルト)の演奏で崩れてしまった歯並び、マウスピース矯正治療
治療症例の内容
- 担当医
- 大元洋佑(ドクタープロフィール)
- 患者様
- 20代女性
- 矯正装置
- インビザライン
- 治療期間
- 3年2ヶ月
- 治療回数
- 10-30回
- 治療計画
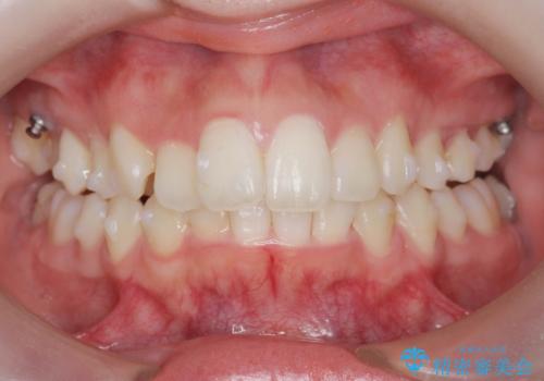
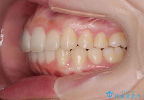
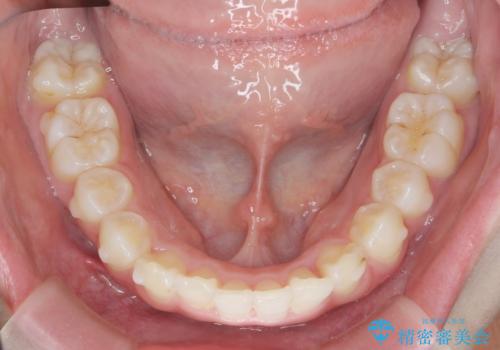
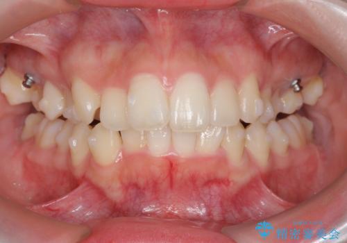
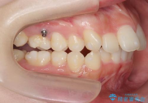
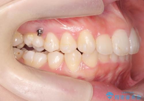
- 高校時代の吹奏楽の部活でサクソフォン(アルト)を担当、「一生懸命練習をしすぎて気づいたら歯並びが悪くなっていた。矯正治療を受けたい!。」
とマウスピース矯正を希望され来院されました。
歯列の乱れが大きく難易度が高いため、
・治療期間の長期化が予想されること
・マウスピースで治り切らない場合ワイヤー矯正に変更すること
をご理解いただいた上でマウスピース矯正治療を計画します。
- 費用(概算)
- 99万円費用は治療当時の料金となります
治療について
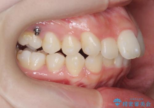
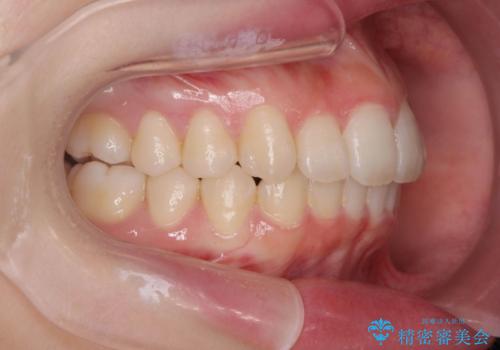
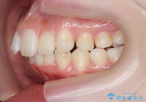
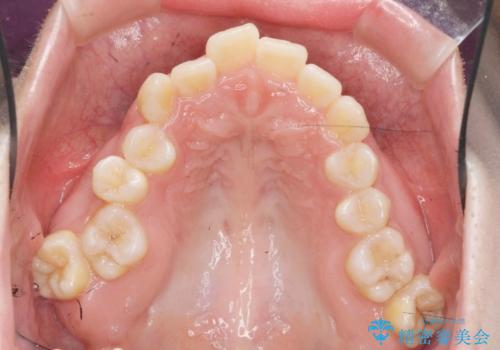
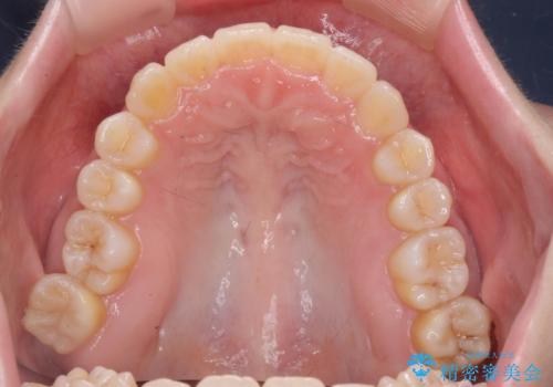
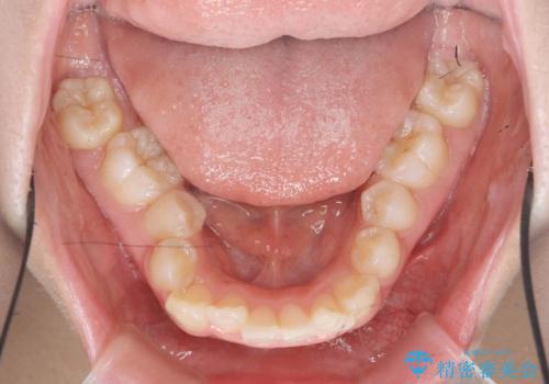
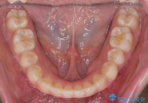
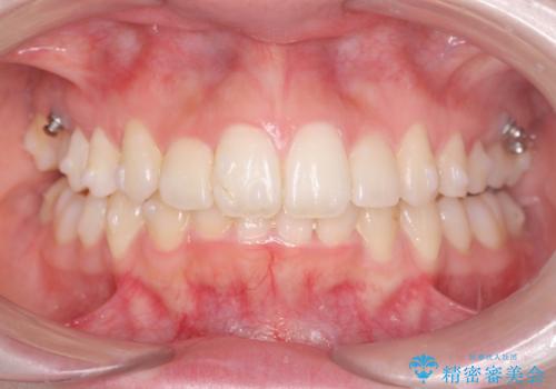
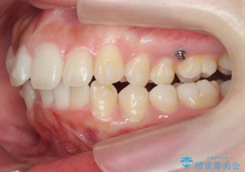
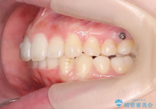
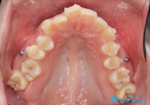
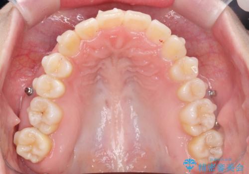
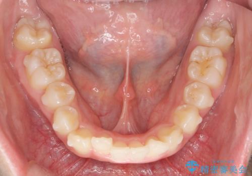
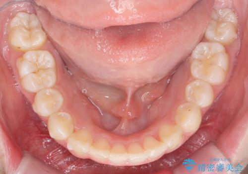
口腔内の清掃状態の良さに加えて、マウスピースを毎日きっちりと装着し、しっかりと使用していただけたことからワイヤー矯正は行わずにきれいに歯並びを治すことができました。
途中顎位が変わり、マイクロインプラントを併用した上顎臼歯の遠心移動が必要となったため治療が長期化しました。
マウスピース矯正の注意事項(リスク・副作用など)
- 口腔内・歯並びの状態によっては対応できない場合があります
- マウスピース型矯正装置の長時間装着(1日20時間以上)が必須です
- 治療計画通りに進めるためには、患者様の意志が重要になります
- 矯正治療後の保定が不十分だと後戻り(元の位置に戻ろうとする動き)をします
- 薬機法対象外の矯正歯科装置のため医薬品副作用被害救済制度の対象外となる場合があります
- 自費診療(保険適用外)となります
当サイトの内容、テキスト、画像等の無断転載、複製、複写、盗用を固く禁じます。

























