症例詳細
Case detail
左の親知らず抜歯したい。
治療症例の内容
- 診療科目
- 治療カテゴリ
- 担当医
- 青山卓弘(ドクタープロフィール)
- 患者様
- 20代女性
- 治療期間
- 1ヶ月
- 治療回数
- 1回
- 治療計画
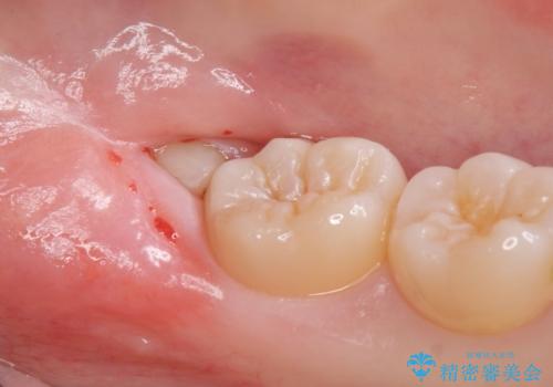
- 左上下親知らず抜きたいとの事で来院。
レントゲン、CTを撮影し安全を考慮して抜歯術を行いました。
抜歯後、1週間後に抜糸を行う必要があります。
- 費用(概算)
- 保険治療費用は治療当時の料金となります
治療について
無事に親知らず抜歯ができました。
次回反対側の親知らずを抜歯するか検討中です。
保険治療の注意事項(リスク・副作用など)
- 保険医が保険医療機関において健康保険法、医師法、医療法等の各種関係法令の規定を遵守し、『療養担当規則』の規定を遵守し、医学的に妥当適切な診療を行い、診療報酬点数表に定められたとおりに請求を行っています
- 使用する材料・素材や治療方法に制約があります
- 健康保険適用となります
外科処置の注意事項(リスク・副作用など)
- 外科手術のため、術後に出血、痛みや腫れ、違和感を伴います
- 口腔内の状態によっては適応できないことがあります
その他の注意事項(リスク・副作用など)
- 担当歯科医師、歯科衛生士又は医院スタッフから受けた説明・注意事項をよくご確認ください
- 医療を提供するに当たり、適切な説明を行い、患者様の十分な理解を得るよう努めております
当サイトの内容、テキスト、画像等の無断転載、複製、複写、盗用を固く禁じます。










