症例詳細
Case detail
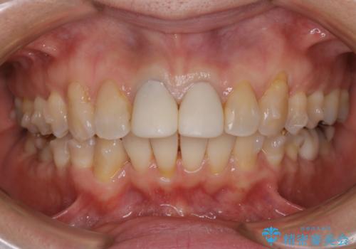
【非抜歯】加速矯正で超短期間治療!噛み合わせが劇的に改善
治療症例の内容
- 診療科目
- 治療カテゴリ
- 担当医
- 今村大二郎(ドクタープロフィール)
- 患者様
- 50代 女性
- 矯正装置
- マウスピース(インビザライン)
- 治療期間
- 11ヶ月
- 治療回数
- 5-10回
- 治療計画
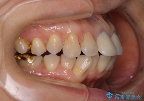
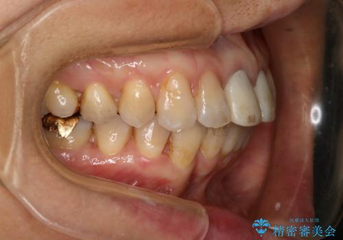
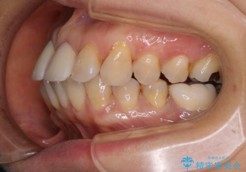
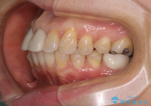
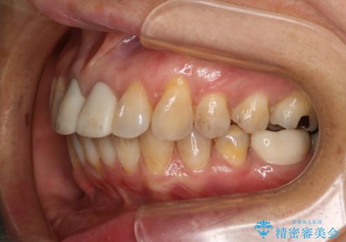
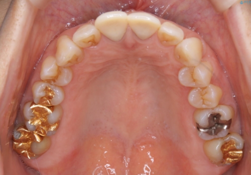
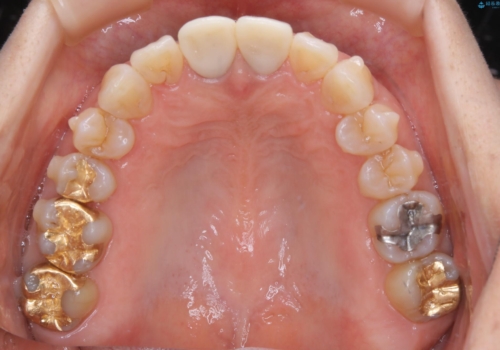
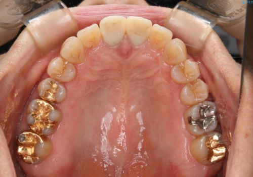
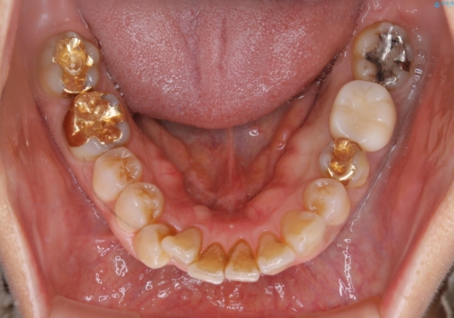
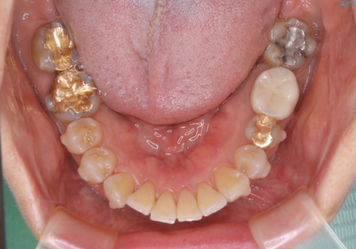
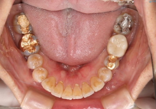
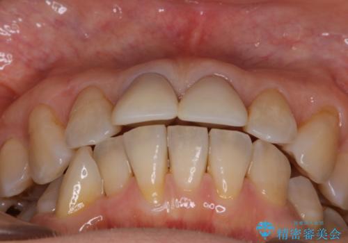
- 長年の噛み合わせの不調を主訴にご来院され、矯正治療を行うこととなりました。
患者様から「なるべく短期間で終わらせたい」とのご要望があり、加速矯正装置を併用した治療を行うこととなりました。
マウスピースの使用にプラスして光を照射する機器の使用の手間が増えるというデメリットはありますが、その分トータルの治療期間は約半分に短縮され、さらには矯正治療につきものの歯の痛みも軽減されるため、結果としてストレスの少ない矯正治療を提供することができると思います。
- 費用(概算)
- 税込¥935,000- (コンプリヘンシブパッケージ¥880,000 , 加速装置¥55,000)費用は治療当時の料金となります
加速矯正
加速矯正は、口腔内で特殊な波長の光を当て歯の周りの組織の細胞を活性化させることにより矯正による歯の移動を促進したり、疼痛の減弱に効果があるとされています。
治療期間を短縮したい患者様やマウスピースの矯正力の増強が必要なケースに有効で、さらに高齢の方でも通常時と比べて歯が動きやすくなります。
治療期間が長いことや移動による歯の痛みは矯正治療を希望する患者さんの永遠の悩みなので、この加速矯正装置がその悩みの解決にきっと役立ってくれるでしょう。
マウスピース矯正の注意事項(リスク・副作用など)
- 口腔内・歯並びの状態によっては対応できない場合があります
- マウスピース型矯正装置の長時間装着(1日20時間以上)が必須です
- 治療計画通りに進めるためには、患者様の意志が重要になります
- 矯正治療後の保定が不十分だと後戻り(元の位置に戻ろうとする動き)をします
- 薬機法対象外の矯正歯科装置のため医薬品副作用被害救済制度の対象外となる場合があります
- 自費診療(保険適用外)となります
当サイトの内容、テキスト、画像等の無断転載、複製、複写、盗用を固く禁じます。





















