症例詳細
Case detail
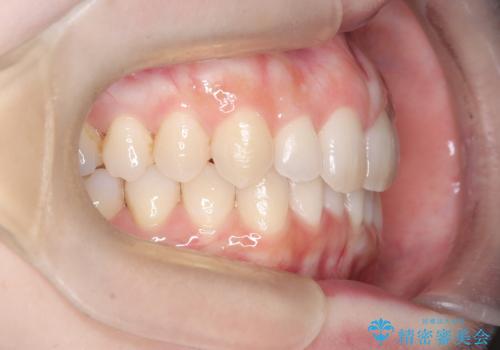
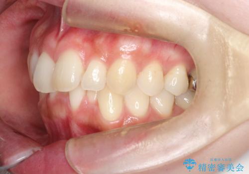
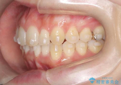
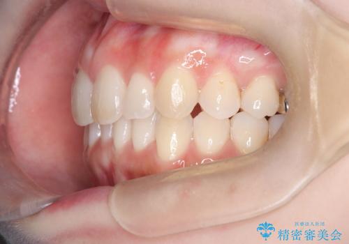
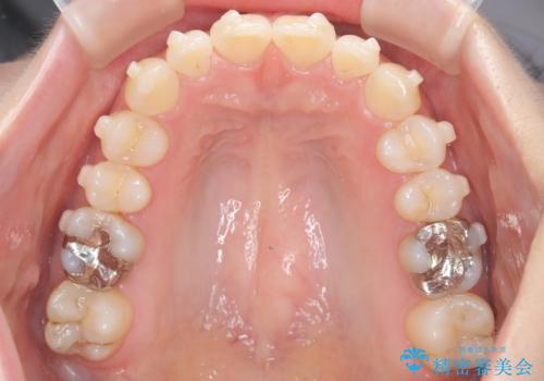
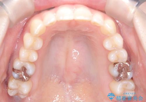
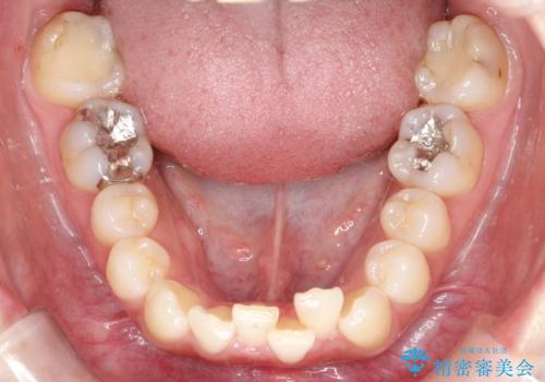
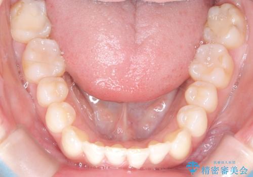
インビザラインで整えた前歯の歯並び
治療症例の内容
- 診療科目
- 治療カテゴリ
- 担当医
- 河口智英(ドクタープロフィール)
- 患者様
- 20代女性
- 矯正装置
- インビザライン
- 治療期間
- 2年
- 治療回数
- 10-30回
- 治療計画
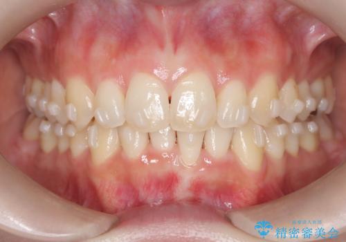
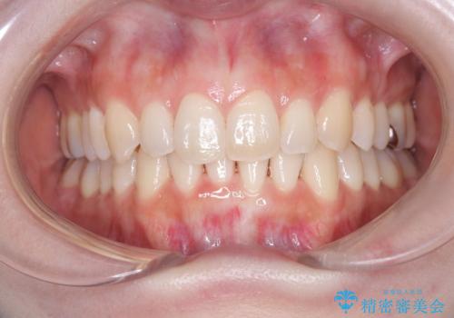
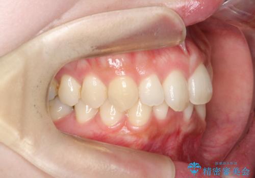
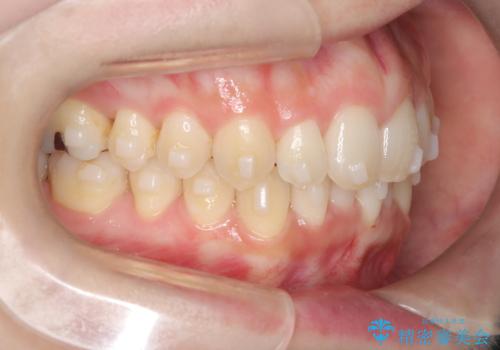
- 患者様は、上下前歯の歯列不正(ガタガタ)を主訴としてご来院されました。治療計画として、透明なマウスピース型矯正装置「インビザライン」を使用し、約2年の期間を見込んで前歯部の歯列を整える方針を立てました。特に下顎前歯に歯肉退縮のリスクがあるため、治療中にIPR(インタープロキシマルリダクション)を行い、歯間を適切に削ることで、過度な圧力を避け、歯肉退縮を防ぎながら配列を進めました。治療は慎重に進め、最終的にきれいで整った前歯の歯並びを目指しました。
- 費用(概算)
- 80万円費用は治療当時の料金となります
治療について
インビザラインによる矯正治療は、患者様自身が装着するマウスピース型の装置を使用するため、装着時間の徹底が重要です。特に、下顎前歯の歯肉退縮を避けるため、IPRを施すことで歯間スペースを確保し、歯肉にかかる負担を減らしました。この方法により、歯並びを整えながらも歯肉の健康を保つことができます。治療期間中は定期的にチェックを行い、歯肉の状態や歯の動きを慎重に確認しました。また、治療後はリテーナーを装着して歯並びを維持し、安定させました。
マウスピース矯正の注意事項(リスク・副作用など)
- 口腔内・歯並びの状態によっては対応できない場合があります
- マウスピース型矯正装置の長時間装着(1日20時間以上)が必須です
- 治療計画通りに進めるためには、患者様の意志が重要になります
- 矯正治療後の保定が不十分だと後戻り(元の位置に戻ろうとする動き)をします
- 薬機法対象外の矯正歯科装置のため医薬品副作用被害救済制度の対象外となる場合があります
- 自費診療(保険適用外)となります
当サイトの内容、テキスト、画像等の無断転載、複製、複写、盗用を固く禁じます。















