症例詳細
Case detail
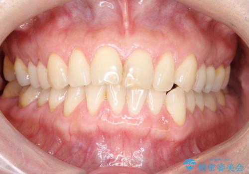
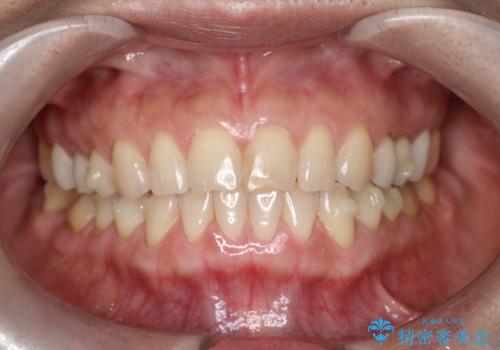
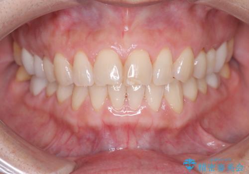
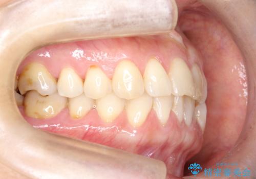
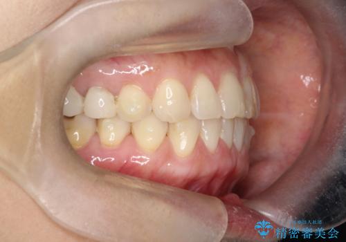
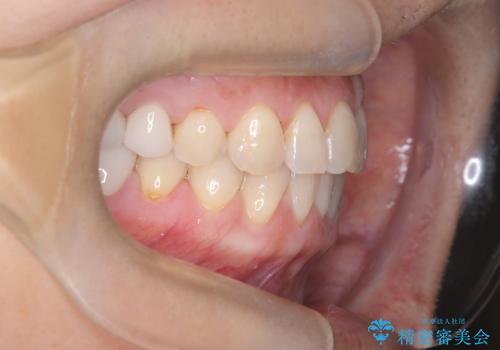
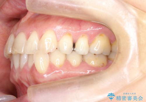
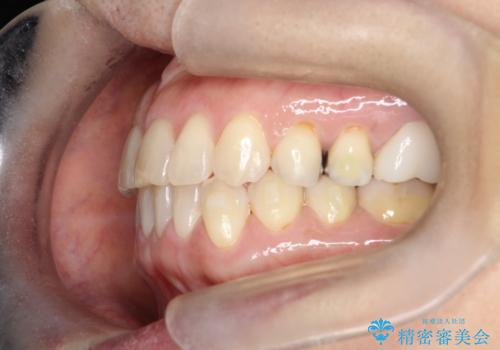
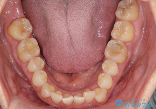
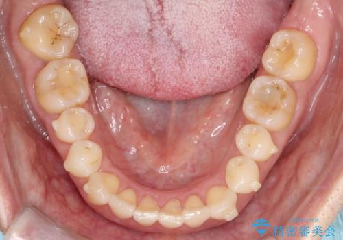
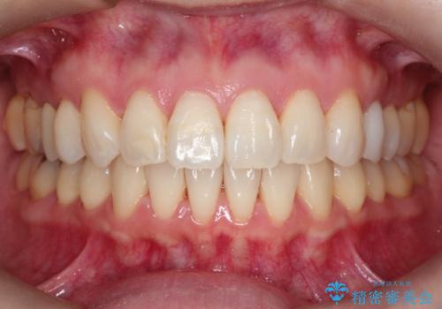
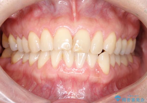
インビザラインで整えた歯並び
治療症例の内容
- 診療科目
- 治療カテゴリ
- 担当医
- 河口智英(ドクタープロフィール)
- 患者様
- 40代女性
- 矯正装置
- インビザライン
- 治療期間
- 2年
- 治療回数
- 10-30回
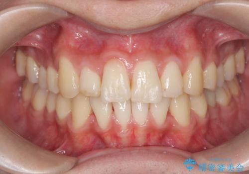
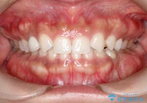
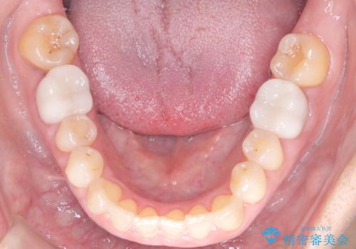
- 治療計画
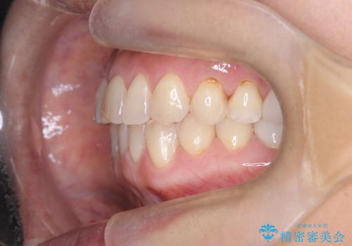
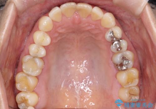
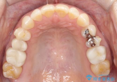
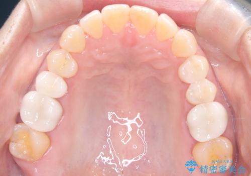
- 患者様は、歯列の重なり(叢生)を主訴としてご来院されました。診断の結果、非抜歯で矯正治療を行う方針とし、透明なマウスピース型矯正装置「インビザライン」を用いて治療を開始しました。歯列全体のガタガタを整える過程で、予想以上に歯の移動に時間がかかり、当初の予定より治療期間が延びましたが、患者様と相談しながら理想的なゴールを目指して治療を進めました。また、治療の最終段階では、以前から装着されていたメタルの補綴物をセラミックに置き換えることで、審美性を高めました。
- 費用(概算)
- 85万円費用は治療当時の料金となります
治療について
インビザラインによる矯正治療は、患者様の装着時間や協力が結果に大きく影響します。本症例では、歯の動きが停滞する時期もありましたが、追加アライナーを作成し、細かく調整を行うことで理想的な歯列を実現しました。メタル補綴をセラミックに置き換える際には、色味や形状を患者様と相談し、自然な見た目を重視しました。治療中のコミュニケーションを密に行い、患者様と共にゴールを目指すことで、最終的に満足のいく結果を得ることができました。
マウスピース矯正の注意事項(リスク・副作用など)
- 口腔内・歯並びの状態によっては対応できない場合があります
- マウスピース型矯正装置の長時間装着(1日20時間以上)が必須です
- 治療計画通りに進めるためには、患者様の意志が重要になります
- 矯正治療後の保定が不十分だと後戻り(元の位置に戻ろうとする動き)をします
- 薬機法対象外の矯正歯科装置のため医薬品副作用被害救済制度の対象外となる場合があります
- 自費診療(保険適用外)となります
当サイトの内容、テキスト、画像等の無断転載、複製、複写、盗用を固く禁じます。















