症例詳細
Case detail
抜歯矯正をインビザラインで実現
治療症例の内容
- 診療科目
- 治療カテゴリ
- 担当医
- 河口智英(ドクタープロフィール)
- 患者様
- 20代女性
- 矯正装置
- インビザライン
- 治療期間
- 3年
- 治療回数
- 10-30回
- 治療計画
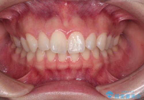
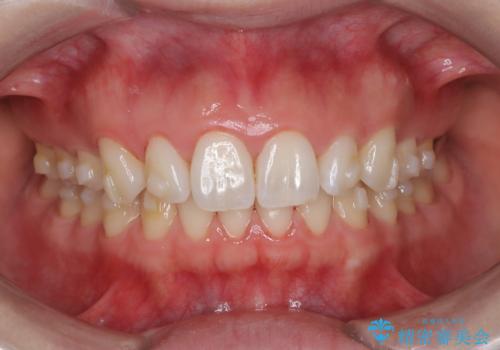
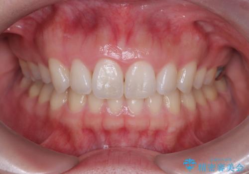
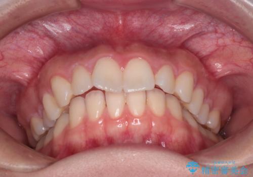
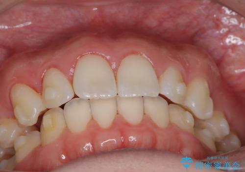
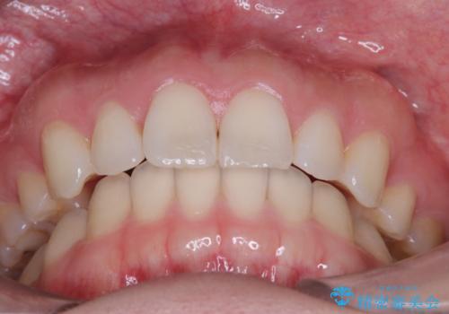
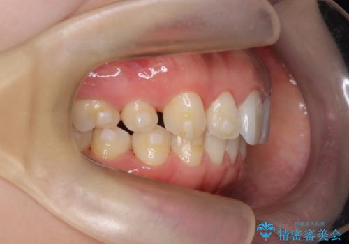
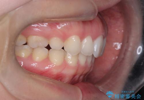
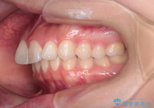
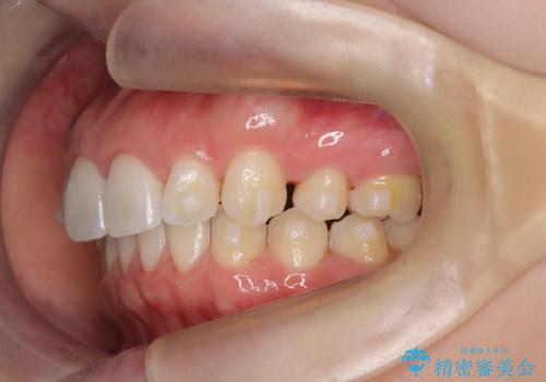
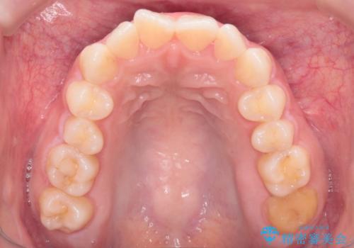
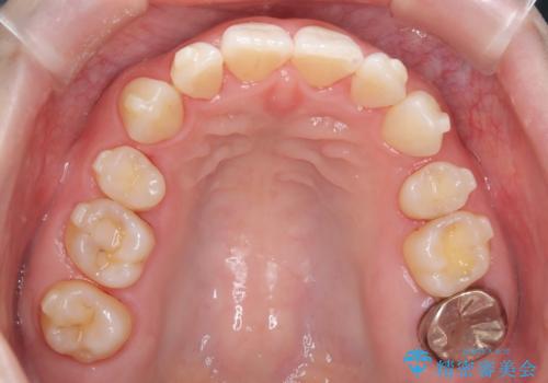
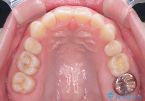
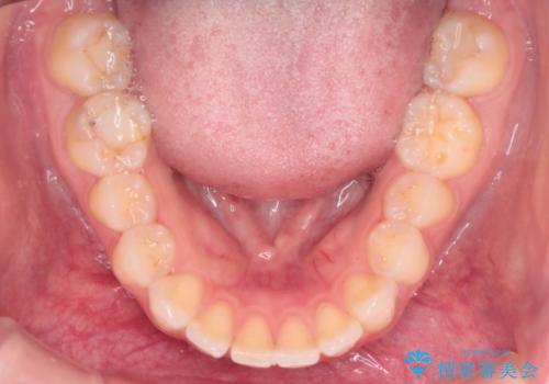
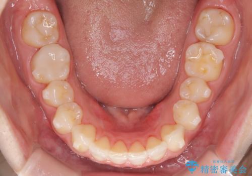
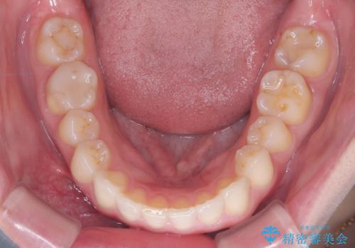
- 患者様は、上下顎の歯列不正と前歯部の突出感を主訴としてご来院されました。診断の結果、上顎左右第一小臼歯を抜歯することでスペースを確保し、歯列全体を整える方針としました。本来はワイヤー矯正が推奨されるケースですが、患者様のご希望により、透明なマウスピース型矯正装置「インビザライン」を使用した治療計画を立案しました。治療期間は約3年で、奥歯の噛み合わせを維持しながら、徐々に前歯の位置を整えました。
- 費用(概算)
- 90万円費用は治療当時の料金となります
治療について
インビザラインは見た目の目立ちにくさと取り外しが可能な点がメリットですが、複雑なケースでは治療計画の精密さが求められます。本症例では奥歯の噛み合わせが崩れないよう注意を払いながら、マウスピースの交換タイミングを細かく設定しました。患者様には装着時間を守っていただくことが重要で、1日20時間以上の装着が必須です。また、抜歯部位のスペースを閉じる過程で、歯の動きが停滞しやすい時期もあるため、定期的なチェックを通じて治療が順調に進むよう管理しました。
マウスピース矯正の注意事項(リスク・副作用など)
- 口腔内・歯並びの状態によっては対応できない場合があります
- マウスピース型矯正装置の長時間装着(1日20時間以上)が必須です
- 治療計画通りに進めるためには、患者様の意志が重要になります
- 矯正治療後の保定が不十分だと後戻り(元の位置に戻ろうとする動き)をします
- 薬機法対象外の矯正歯科装置のため医薬品副作用被害救済制度の対象外となる場合があります
- 自費診療(保険適用外)となります
当サイトの内容、テキスト、画像等の無断転載、複製、複写、盗用を固く禁じます。


















