症例詳細
Case detail
【セラッミククラウン】銀歯を白くしたい!
治療症例の内容
- 診療科目
- 治療カテゴリ
- 担当医
- 河野豊嘉(ドクタープロフィール)
- 患者様
- 30代女性
- 治療期間
- 1ヶ月
- 治療回数
- 2-5回
- 治療計画
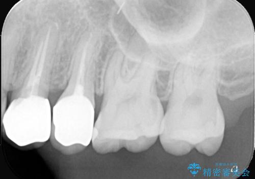
- 「銀歯があるとお口の中が気持ち悪い感じがするので、セラミックに変えたい」を主訴に来院された患者様です。
銀歯と虫歯を除去し、オールセラミッククラウンで治療を行いました。
- 費用(概算)
- 税込132,000円(オールセラミッククラウン121,000円+仮歯11,000円)費用は治療当時の料金となります
治療について
銀歯の下は虫歯になっていました。 根管治療は希望されなかったため、虫歯を除去後、被せ物のみオールセラミックで治療を行いました。
セラミック治療の注意事項(リスク・副作用など)
- 天然歯を削ります
- 硬い素材は天然歯を傷つけてしまう場合があります
- かみ合わせや歯ぎしりが強すぎる方はセラミックが割れてしまう可能性があります
- 自費診療(保険適用外治療)となります
当サイトの内容、テキスト、画像等の無断転載、複製、複写、盗用を固く禁じます。







