症例詳細
Case detail
【セラミッククラウン】土台と被せものがズレている気がする
治療症例の内容
- 診療科目
- 治療カテゴリ
- 担当医
- 町田睦月(ドクタープロフィール)
- 患者様
- 30代女性
- 治療期間
- 1ヶ月
- 治療回数
- 2-5回
- 治療計画
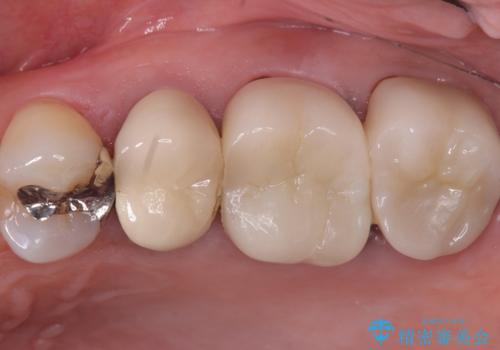
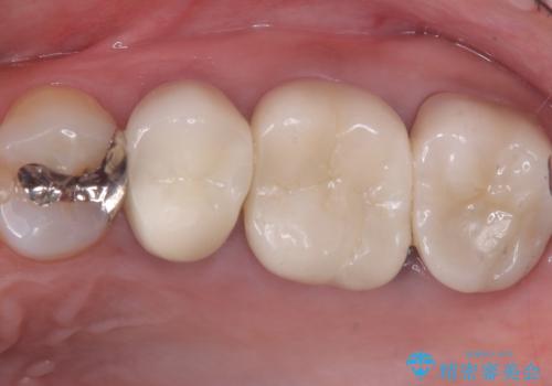
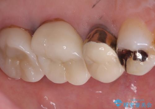
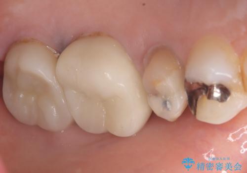
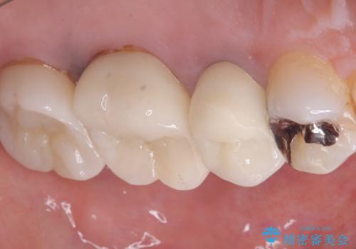
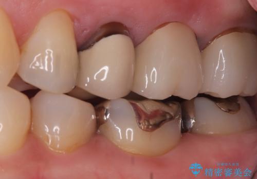
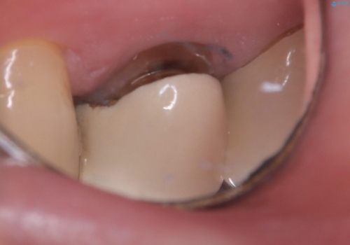
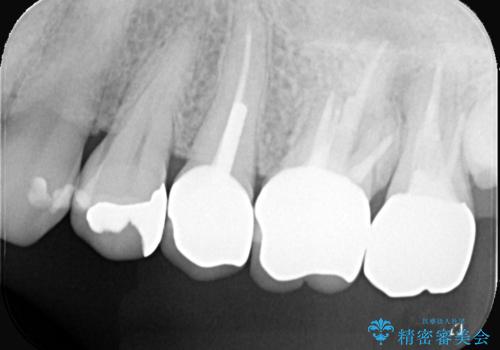
- 主訴:いつも物が詰まる場所があり気になる。衛生士に被せものと土台の境目に汚れが溜まっている箇所があると指摘され気になっている。
過去に入れた被せものと土台の歯との適合が悪く、隙間が出来ておりそこに汚れが溜まりやすい状態になっていました。セラミッククラウンでのやり替えとなりました。
- 費用(概算)
- 132,000円費用は治療当時の料金となります
治療について
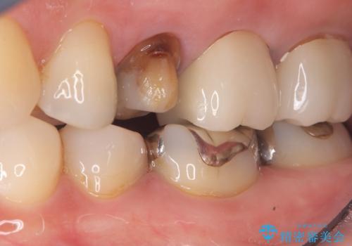
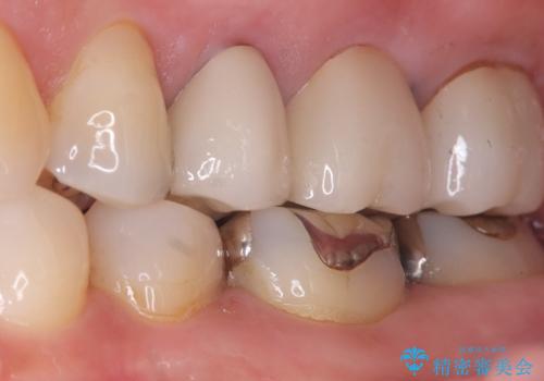
唇側マージン不適なこと説明し、審美性・適合性に優れたセラミッククラウン(スタンダード)でのやり替えとなりました。
治療途中、一度仮歯に置き換えを行っています。
セラミック治療の注意事項(リスク・副作用など)
- 天然歯を削ります
- 硬い素材は天然歯を傷つけてしまう場合があります
- かみ合わせや歯ぎしりが強すぎる方はセラミックが割れてしまう可能性があります
- 自費診療(保険適用外治療)となります
当サイトの内容、テキスト、画像等の無断転載、複製、複写、盗用を固く禁じます。












