症例詳細
Case detail
銀の詰め物が外れた ハイブリッドアンレー修復
治療症例の内容
- 診療科目
- 治療カテゴリ
- 担当医
- 有澤哲郎(ドクタープロフィール)
- 患者様
- 50代男性
- 治療期間
- 1ヶ月
- 治療回数
- 2-5回
- 治療計画
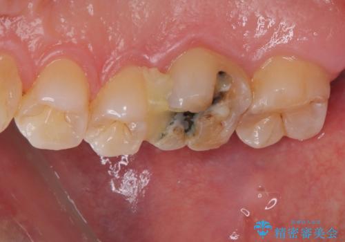
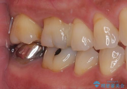
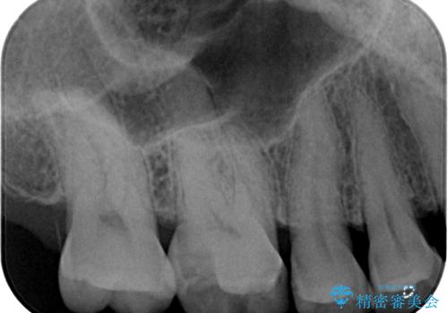
- メンテナンスで通っていただいている患者様で、銀歯が外れたので診てほしいとのことで来院された患者様です。以前にも何度か同部位が外れる度につけ直している状況でした。又、遠心口蓋側咬頭がかけている状態でなるべく歯を削らずセラミックの詰め物を入れたいとのことでハイブリッドアンレーで治療していくことになりました。
拡大鏡視野下で虫歯、古いプラスチック(コンポジットレジン)を除去し、ハイブリッドアンレーに適した形に整えました。
歯と歯茎の間に圧排糸と言われる糸を入れてシリコーン印象材にて型どりをしました。
- 費用(概算)
- 6万円(税込み)費用は治療当時の料金となります
治療について
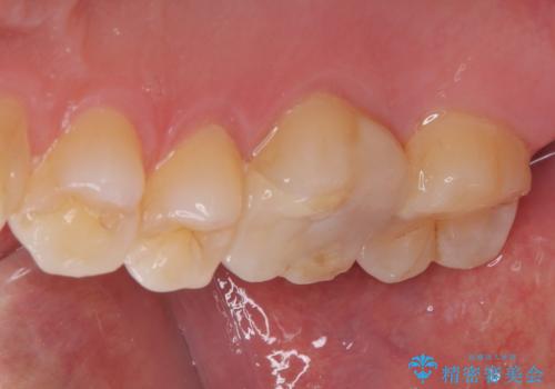
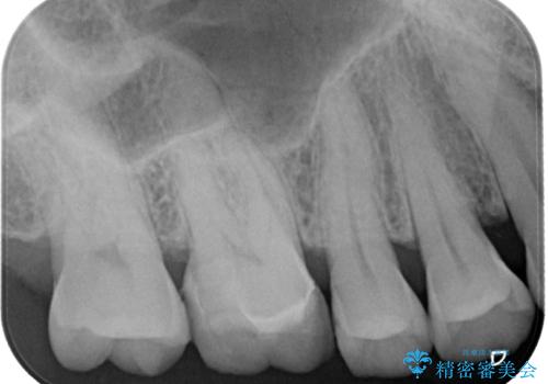
特に異常もなく見た目、噛み合わせともに満足していただけました。
ラバーダム防湿を行い、セラミックの接着をすることで、唾液や血液などの接着阻害因子を排除することができます。
今後はメンテナンスで通ってもらいながら経過を診ていく予定です。
セラミック治療の注意事項(リスク・副作用など)
- 天然歯を削ります
- 硬い素材は天然歯を傷つけてしまう場合があります
- かみ合わせや歯ぎしりが強すぎる方はセラミックが割れてしまう可能性があります
- 自費診療(保険適用外治療)となります
その他の注意事項(リスク・副作用など)
- 担当歯科医師、歯科衛生士又は医院スタッフから受けた説明・注意事項をよくご確認ください
- 医療を提供するに当たり、適切な説明を行い、患者様の十分な理解を得るよう努めております
当サイトの内容、テキスト、画像等の無断転載、複製、複写、盗用を固く禁じます。









