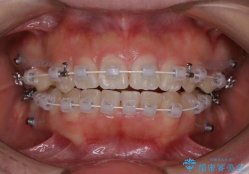
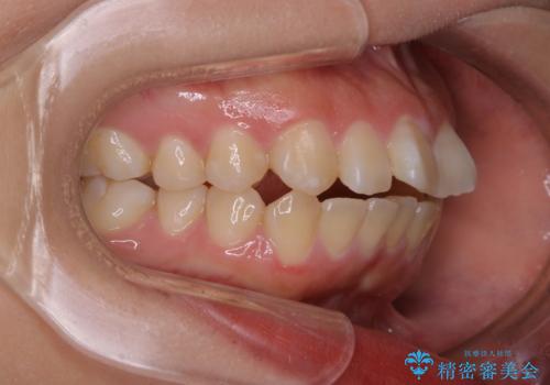
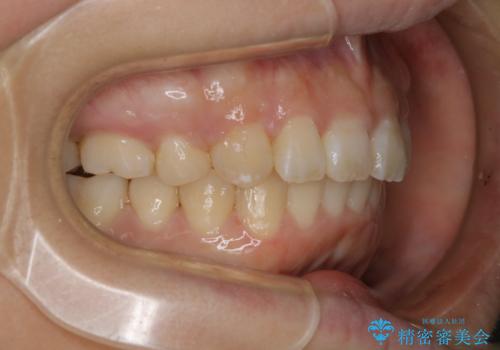
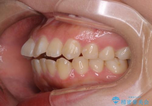
症例詳細
Case detail
- 患者様
- 20代女性
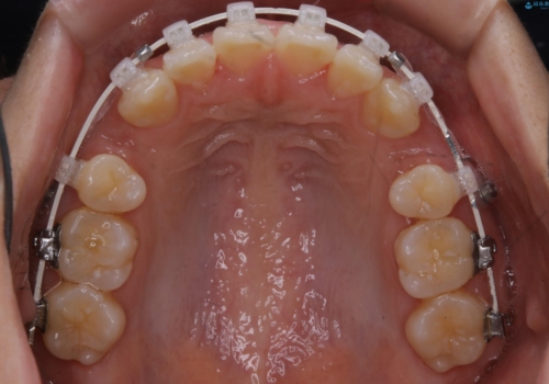
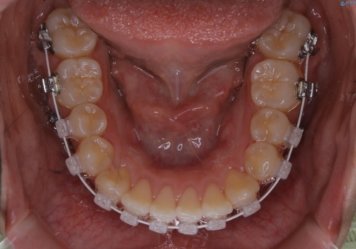
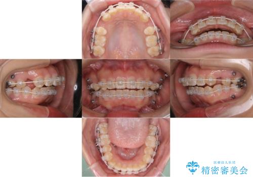
- 矯正装置
- 審美装置(ワイヤー)
- 治療期間
- 1年11ヶ月
- 治療回数
- 10-30回
- 治療計画
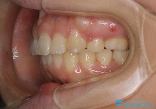
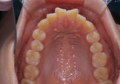
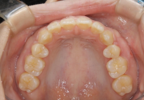
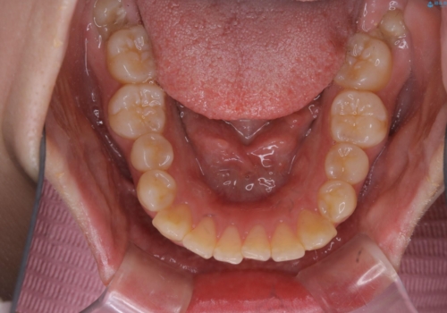
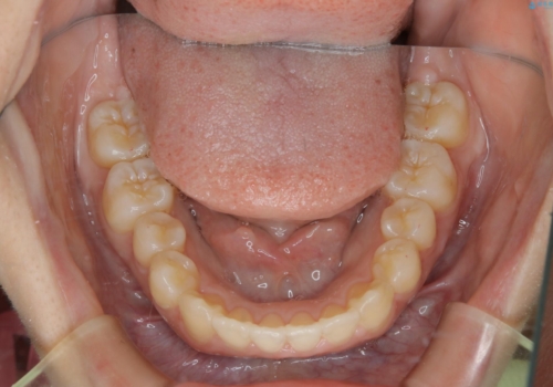
- 以前当院にて矯正治療をされたお姉さまのご紹介にて来院された方です。口元を下げたいとのご希望でした。初めは顎位が安定しづらい状態でしたが、最終的にしっかり噛めるように治療しました。
- 費用(概算)
- 97万円(税込み)費用は治療当時の料金となります
治療について
初診相談時、矯正検査時、治療時と毎回噛む位置が変化し、患者様ご自身でもどこで噛むのが正解なのかわからない状態でしたが、安定する顎位にて治療を終了することが出来ました。気になっていた口元もスッキリさせることができ、大変喜んでいただけました。
ワイヤー矯正の注意事項(リスク・副作用など)
- 治療中は違和感や痛みが起こることがあります
- 症状により、抜歯が必要な場合があります
- 治療中は歯磨きがしにくくなるため、虫歯や歯周病になりやすくなります
- 矯正治療後の保定が不十分だと後戻り(元の位置に戻ろうとする動き)をします
- 自費診療(保険適用外)となります
当サイトの内容、テキスト、画像等の無断転載、複製、複写、盗用を固く禁じます。






















