症例詳細
Case detail
歯を抜かない矯正治療 銀歯を白く 50代でも若返ります
治療症例の内容
- 担当医
- 井上季実子(ドクタープロフィール)
- 患者様
- 50代男性
- 治療期間
- 1年
- 治療回数
- 10-30回
- 治療計画
- でこぼこ歯を主訴にして来院。
前歯部一部反対咬合あり。
叢生の改善は、上下前歯部をディスキングしてスペースを得た。
矯正治療後に銀色のつめものをセラミックにつめかえた。
- 費用(概算)
- 80万円費用は治療当時の料金となります
治療について(矯正担当 井上より)
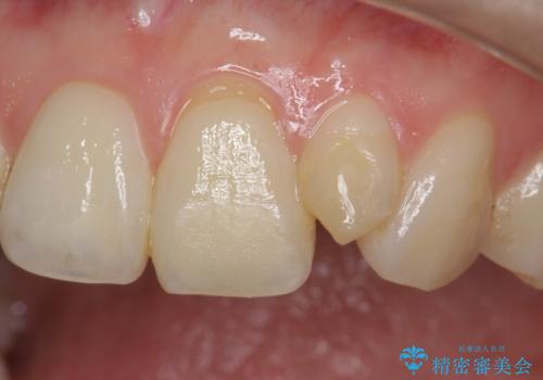
矯正治療後は、ホワイトニングや、下の歯の審美補綴(銀色のつめものをセラミックに変更)を行いました。
また、上のインレーブリッジをセラミッククラウンのブリッジにやりかえました。
審美補綴はDr.松田が担当しました。
特に下の歯は口を開けた時に目立ちやすいです。
矯正治療をし、さらに詰めものを白いものに変えると、若々しい口元になります。
治療後の感想
1年で装置が撤去できて、50代でも歯が動くことをこれから矯正治療を考えているシニア世代の方に知ってほしいと思います。
ワイヤー矯正の注意事項(リスク・副作用など)
- 治療中は違和感や痛みが起こることがあります
- 症状により、抜歯が必要な場合があります
- 治療中は歯磨きがしにくくなるため、虫歯や歯周病になりやすくなります
- 矯正治療後の保定が不十分だと後戻り(元の位置に戻ろうとする動き)をします
- 自費診療(保険適用外)となります
セラミック治療の注意事項(リスク・副作用など)
- 天然歯を削ります
- 硬い素材は天然歯を傷つけてしまう場合があります
- かみ合わせや歯ぎしりが強すぎる方はセラミックが割れてしまう可能性があります
- 自費診療(保険適用外治療)となります
当サイトの内容、テキスト、画像等の無断転載、複製、複写、盗用を固く禁じます。





















