症例詳細
Case detail
先天性の2歯欠損 個性を活かしたマウスピース矯正
治療症例の内容
- 診療科目
- 治療カテゴリ
- 担当医
- 大元洋佑(ドクタープロフィール)
- 患者様
- 20代女性
- 矯正装置
- インビザライン
- 治療期間
- 1年
- 治療回数
- 5-10回
- 治療計画
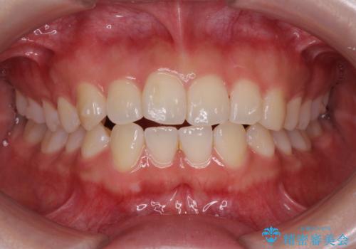
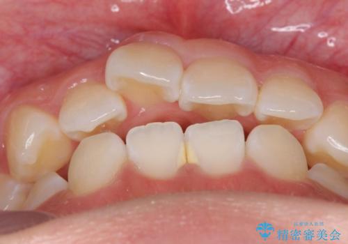
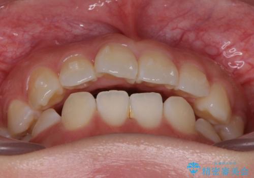
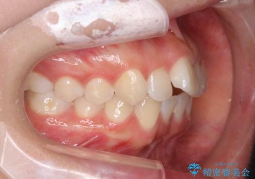
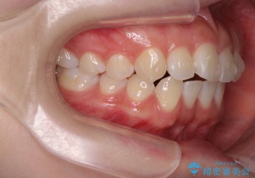
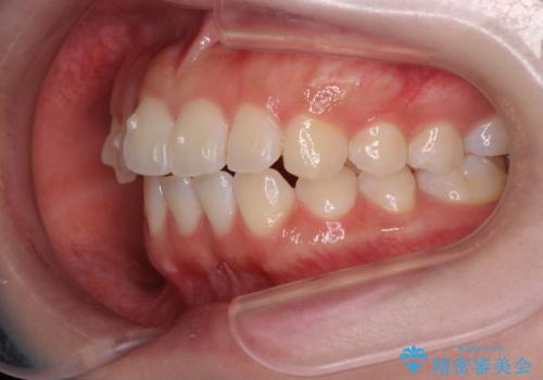
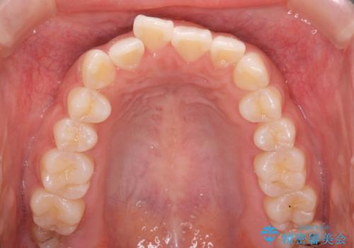
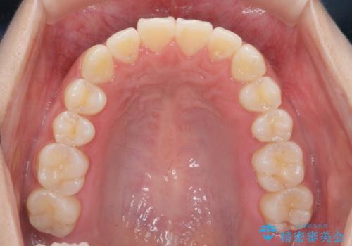
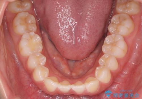
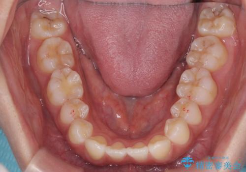
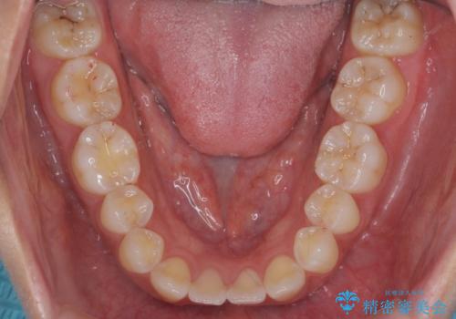
- 前歯のがたつき、ねじれ、下の歯との隙間の改善を希望され来院されました。
検査の結果、下顎の前歯は生まれつき2本少ないため、セラミック治療とは行わずに可及的に前歯のねじれ・見た目を治す矯正治療を計画します。
- 費用(概算)
- 60.5万円 インビザラインモデレートプラン費用は治療当時の料金となります
治療について
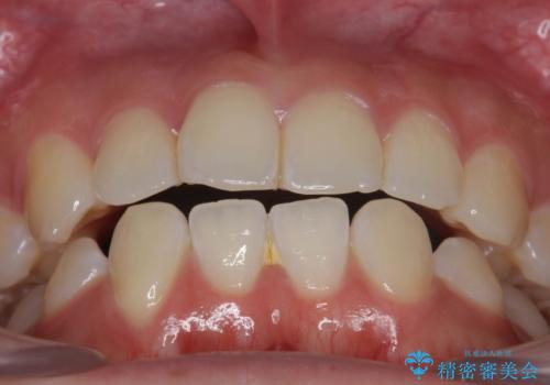
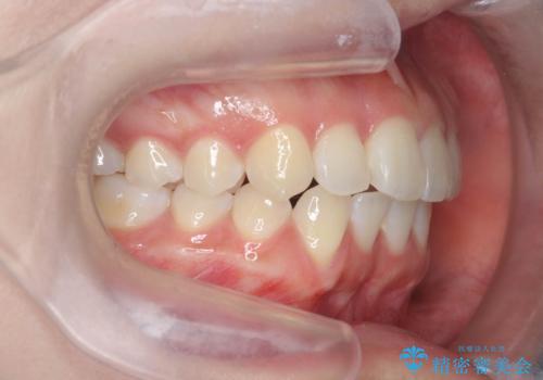
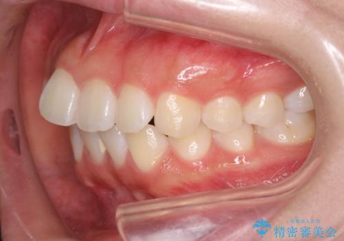
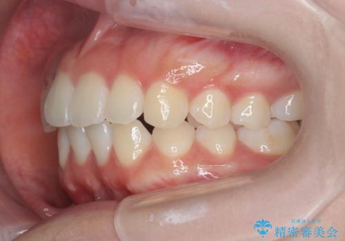
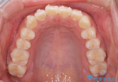
出っ歯気味に見えていた前歯も大きく改善し、仕上がりに喜んでいただくことができました。
マウスピース矯正の注意事項(リスク・副作用など)
- 口腔内・歯並びの状態によっては対応できない場合があります
- マウスピース型矯正装置の長時間装着(1日20時間以上)が必須です
- 治療計画通りに進めるためには、患者様の意志が重要になります
- 矯正治療後の保定が不十分だと後戻り(元の位置に戻ろうとする動き)をします
- 薬機法対象外の矯正歯科装置のため医薬品副作用被害救済制度の対象外となる場合があります
- 自費診療(保険適用外)となります
当サイトの内容、テキスト、画像等の無断転載、複製、複写、盗用を固く禁じます。


















