症例詳細
Case detail
前歯の変色とガタつき ジルコニアクラウンでの修復
治療症例の内容
- 診療科目
- 治療カテゴリ
- 担当医
- 岡田康成(ドクタープロフィール)
- 患者様
- 20代女性
- 治療期間
- 2ヶ月
- 治療回数
- 2-5回
- 治療計画
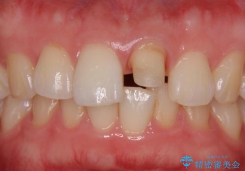
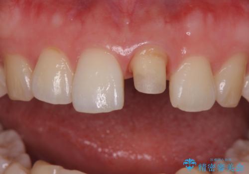
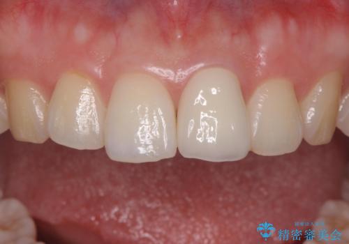
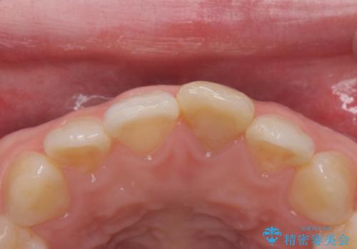
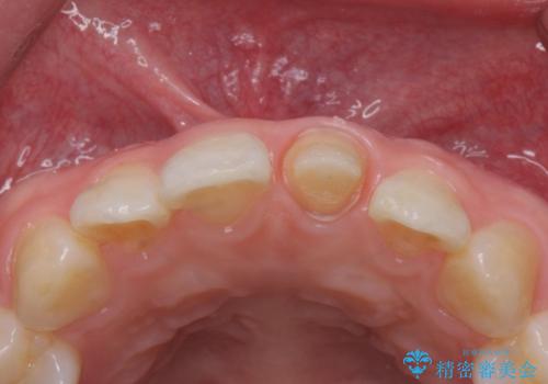
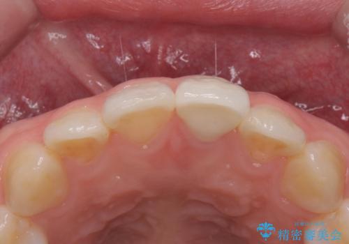
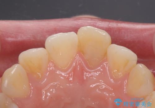
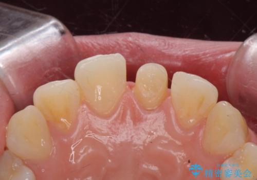
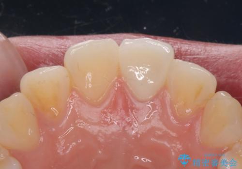
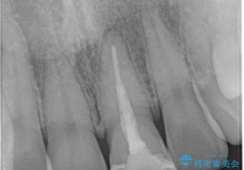
- 前歯の変色とガタつきが気になるとのことで来院された患者様です。
根管治療からやり直しを行った後、ジルコニアクラウンで修復することで、ガタつきと変色の両方を改善していきます。
- 費用(概算)
- 左上1/再根管治療66,000円+ファイバーコア22,000円+仮歯11,000円+ジルコニアクラウン(スタンダード):121,000円 合計209,000円(税込)費用は治療当時の料金となります
治療について
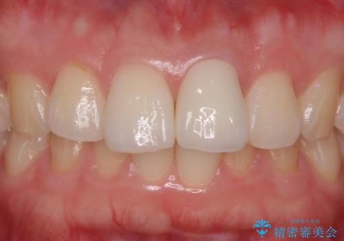
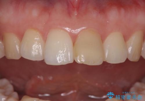
ガタつきと変色の両方を改善することができ、大変喜んでいただけました。
少しのガタつきであれば、矯正治療を行わなくても改善できる場合があります。
セラミック治療の注意事項(リスク・副作用など)
- 天然歯を削ります
- 硬い素材は天然歯を傷つけてしまう場合があります
- かみ合わせや歯ぎしりが強すぎる方はセラミックが割れてしまう可能性があります
- 自費診療(保険適用外治療)となります
当サイトの内容、テキスト、画像等の無断転載、複製、複写、盗用を固く禁じます。














