症例詳細
Case detail
奥歯に物が挟まる セラミックインレーでのむし歯治療
治療症例の内容
- 診療科目
- 治療カテゴリ
- 担当医
- 藤巻太一朗(ドクタープロフィール)
- 患者様
- 20代女性
- 治療期間
- 1ヶ月
- 治療回数
- 2-5回
- 治療計画
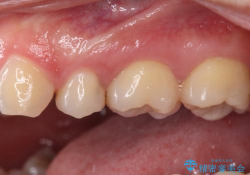
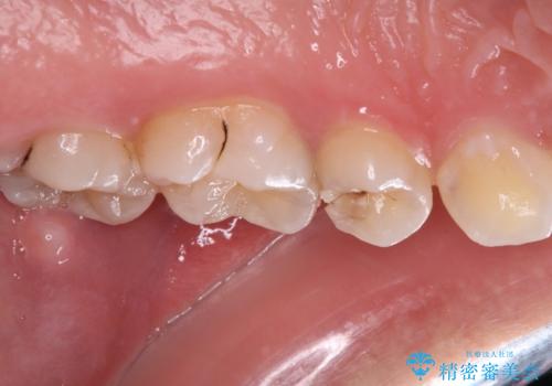
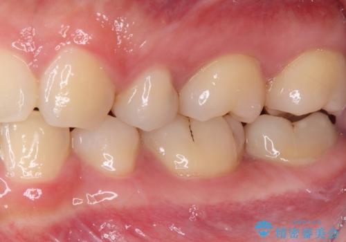
- 食事の度に物が挟まるとのことで来院された患者様です。
目視でも欠損が認められ、レントゲン写真からもむし歯が認められる状態でした。
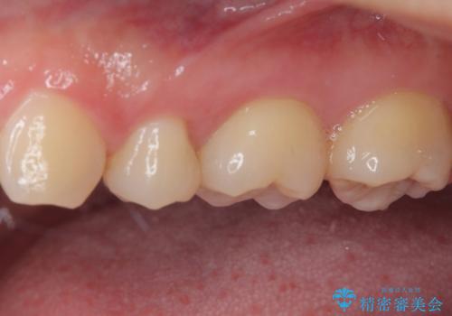
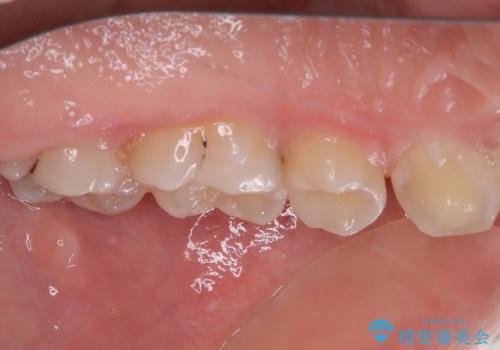
患者様と相談の上、セラミックインレーで精密な修復治療を行うこととしました。
- 費用(概算)
- 治療費の目安: 8万円(税込)費用は治療当時の料金となります
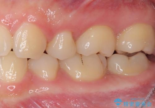
治療について
精密な型取りと、ラバーダム防湿下での接着操作により、歯と詰め物の隙間を最小限にとどめることができ、良好な長期予後が期待できます。
セラミック治療の注意事項(リスク・副作用など)
- 天然歯を削ります
- 硬い素材は天然歯を傷つけてしまう場合があります
- かみ合わせや歯ぎしりが強すぎる方はセラミックが割れてしまう可能性があります
- 自費診療(保険適用外治療)となります
当サイトの内容、テキスト、画像等の無断転載、複製、複写、盗用を固く禁じます。











