症例詳細
Case detail
奥歯の神経のない歯をセラミックでしっかり治療
治療症例の内容
- 診療科目
- 治療カテゴリ
- 担当医
- 井上季実子(ドクタープロフィール)
- 患者様
- 20代女性
- 治療期間
- 2ヶ月
- 治療回数
- 2-5回
- 治療計画
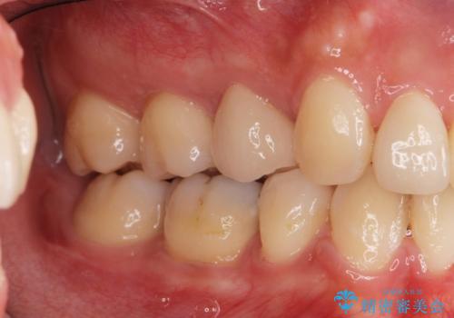
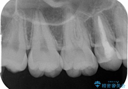
- 右上の5番目の歯の神経の治療のやり直しとセラミック治療を行いました。
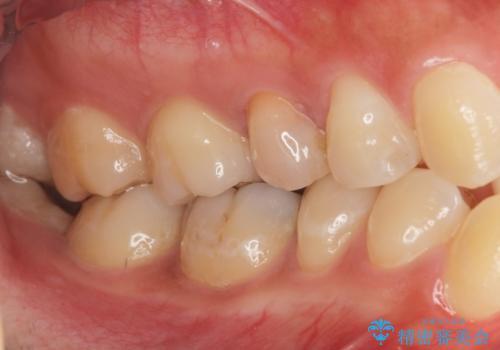
術前ですでに変色が始まっているのがわかります。
途中矯正治療を挟んでいるため、少し歯並びがかわっています。
- 費用(概算)
- 27.4万円 内訳:精密根管治療(再治療) 12.1万円、ファイバーコア 2.2万円、仮歯 1.1万円、ジルコニアクラウン 12.1万円費用は治療当時の料金となります
治療について
術前はCRで蓋をしてあるだけでしたが、クラウンにした方が破折のリスクが少なくなります。また、根の治療がしてある歯ですが、クラウンにした方が封鎖は確実なため、長期的には有利です。また、変色の進行も外からは見えなくなりますので審美的です。
セラミック治療の注意事項(リスク・副作用など)
- 天然歯を削ります
- 硬い素材は天然歯を傷つけてしまう場合があります
- かみ合わせや歯ぎしりが強すぎる方はセラミックが割れてしまう可能性があります
- 自費診療(保険適用外治療)となります
根管治療の注意事項(リスク・副作用など)
- 根管治療により類似の全ての症例の問題が解決するわけではなく、症例はあくまでも一例です
- 根管治療により痛みや腫れがひかない事や、術後に痛みや腫れが生じる事、治療によるファイル破折やパーフォレーションなどの偶発症、術後の歯根破折を生じる可能性もあります
- 自費診療(保険適用外)となります
当サイトの内容、テキスト、画像等の無断転載、複製、複写、盗用を固く禁じます。






