症例詳細
Case detail
外れやすい銀歯をどうにかしたい。フルジルコニアブリッジによる補綴
治療症例の内容
- 診療科目
- 治療カテゴリ
- 担当医
- 齋藤佑磨(ドクタープロフィール)
- 患者様
- 40代男性
- 治療期間
- 4ヶ月
- 治療回数
- 5-10回
- 治療計画
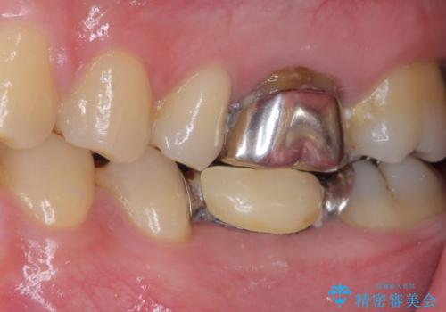
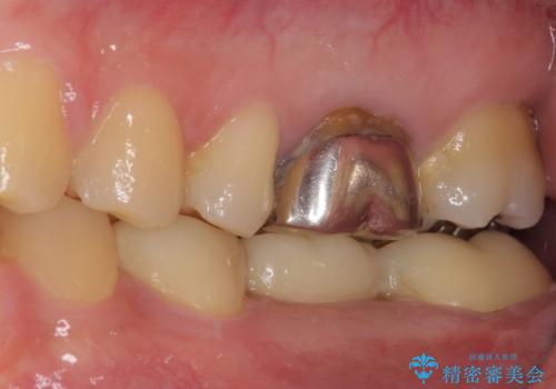
- 外れやすい銀歯をやり替えたいと来院された患者様です。
他院にて治療したインレーブリッジが何回か外れてつけ直しを繰り返しているため、外れないようにしてほしいとのことでした。
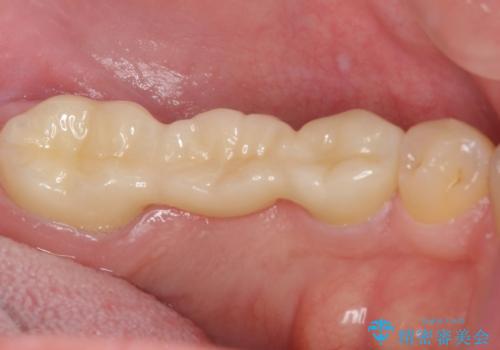
できるだけ外科処置は避けたいという患者様の希望と、すでにブリッジの土台となる両隣の歯を削って治療していることを考慮し、患者様と相談の上、今回はインプラントではなくフルジルコニアブリッジで治療することとしました。
より外れにくく精度の高いブリッジにするため、事前に親知らずの抜歯を当院で行いました。
- 費用(概算)
- 30万円(税込)費用は治療当時の料金となります
治療について
外れる心配がなくなって安心して食事ができるとおっしゃっていました。
ブリッジとインプラントの長所、短所を説明し、患者様にとってより良い治療法を提案させていただきますので気軽に相談してください。
セラミック治療の注意事項(リスク・副作用など)
- 天然歯を削ります
- 硬い素材は天然歯を傷つけてしまう場合があります
- かみ合わせや歯ぎしりが強すぎる方はセラミックが割れてしまう可能性があります
- 自費診療(保険適用外治療)となります
当サイトの内容、テキスト、画像等の無断転載、複製、複写、盗用を固く禁じます。








