症例詳細
Case detail
【セラミックインレー】歯が黒くなっている
治療症例の内容
- 診療科目
- 治療カテゴリ
- 担当医
- 町田睦月(ドクタープロフィール)
- 患者様
- 20代女性
- 治療期間
- 1ヶ月
- 治療回数
- 2-5回
- 治療計画
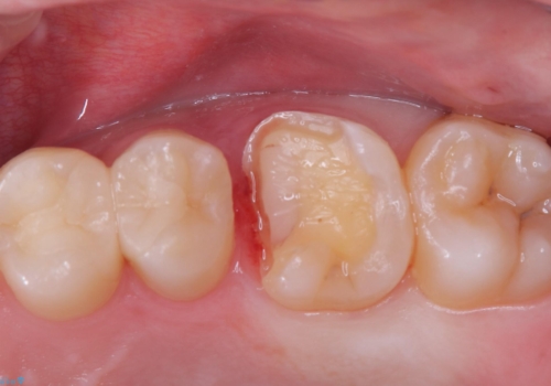
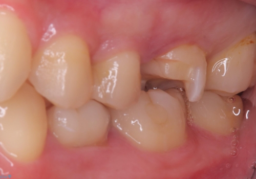
- 主訴:右上6番目の歯が黒ずんで見える。
右上6番に保険適用の歯冠色材料を使ったインレーが入っていましたが、歯質とインレーとの境目に不適部位が存在しそこから二次う蝕になっていました。
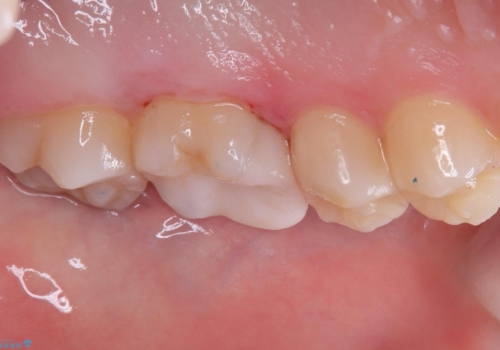
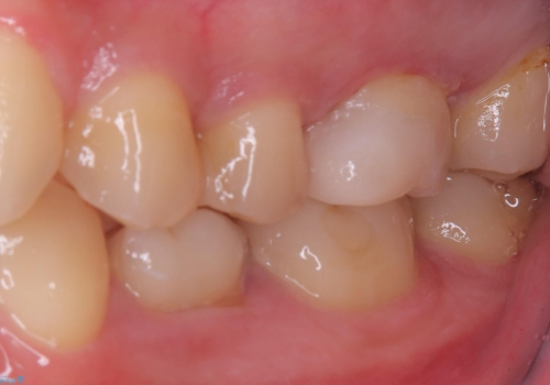
セラミックインレーでのやり替えを提案し、また残存歯質量と破折のリスクを説明し、アンレー形態となりました。
- 費用(概算)
- 77,000円費用は治療当時の料金となります
治療について
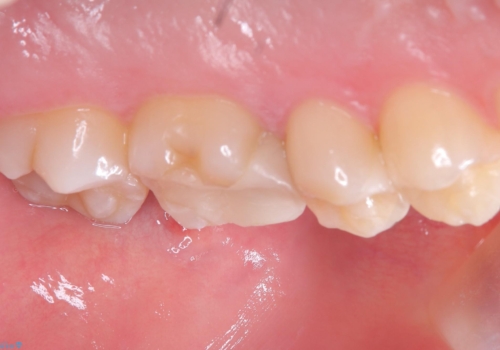
おそらくCAD/CAMインレーと思われる補綴物と歯質の不適合による二次う蝕でした。また、インレーを除去したところ、側室底面の歯質の上に裏層材が一部乗っており、歯質マージンとなっていなかったこともリークの一つの原因と考えられます。
適合性、審美性、材料安定性からセラミックインレーでのやり替えとなりました。う蝕を除去いていくと、残存歯質が薄く破折リスクの高い部位が出てきたため患者さんにも説明し、アンレー窩洞としました。
セラミックアンレー接着時は、ラバーダム防湿を行っています。
セラミック治療の注意事項(リスク・副作用など)
- 天然歯を削ります
- 硬い素材は天然歯を傷つけてしまう場合があります
- かみ合わせや歯ぎしりが強すぎる方はセラミックが割れてしまう可能性があります
- 自費診療(保険適用外治療)となります
当サイトの内容、テキスト、画像等の無断転載、複製、複写、盗用を固く禁じます。













