症例詳細
Case detail
矮小(わいしょう)歯の形をセラミックで自然に 50代女性
治療症例の内容
- 診療科目
- 治療カテゴリ
- 担当医
- 井上季実子(ドクタープロフィール)
- 患者様
- 50代女性
- 治療期間
- 2ヶ月
- 治療回数
- 2-5回
- 治療計画
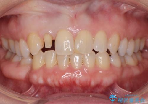
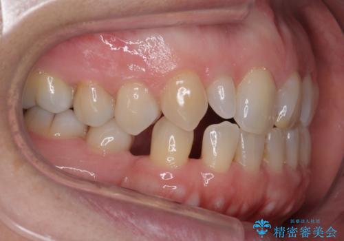
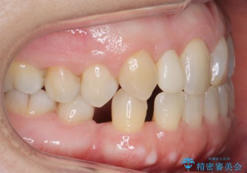
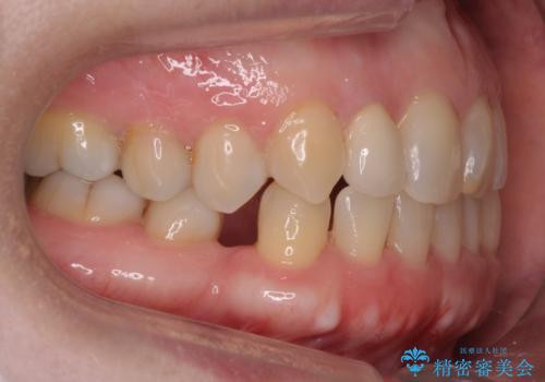
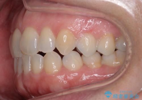
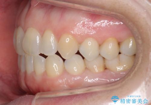
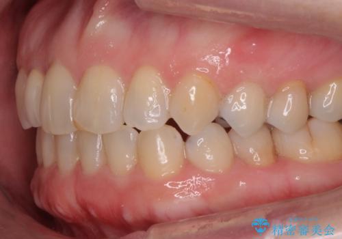
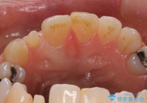
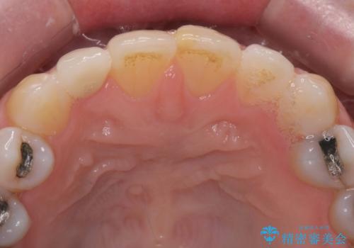
- 右上の2番目の前歯がとがった形をしていたため、セラミックで形を整えています。
短くてとがった歯の形が反対側と同じ形となり、左右対称となり、ずいぶん自然な印象になりました。
特に前歯は左右非対象な形のものがありますと、どうしても他人はそこに目が行ってしまい目立ちます。もう八重歯がかわいいという時代は終わったのではないでしょうか。
- 費用(概算)
- 右上2 15.4万円(内訳 ジルコニアクラウンスペシャル 13万円、仮歯 1万円)費用は治療当時の料金となります
治療について
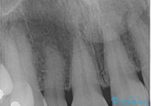
下の前歯とのかみ合わせが切端咬合だったため、前歯の部分矯正も併せて行っています。(費用別途)
セラミック治療の注意事項(リスク・副作用など)
- 天然歯を削ります
- 硬い素材は天然歯を傷つけてしまう場合があります
- かみ合わせや歯ぎしりが強すぎる方はセラミックが割れてしまう可能性があります
- 自費診療(保険適用外治療)となります
当サイトの内容、テキスト、画像等の無断転載、複製、複写、盗用を固く禁じます。
















