症例詳細
Case detail
抜歯矯正の長期予後(術後8年目)
治療症例の内容
- 診療科目
- 担当医
- 井上季実子(ドクタープロフィール)
- 患者様
- 20代男性
- 矯正装置
- ワイヤー矯正
- 治療期間
- 2年
- 治療回数
- 30回以上
- 治療計画
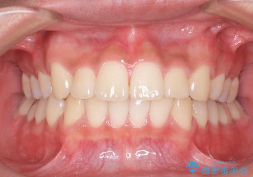
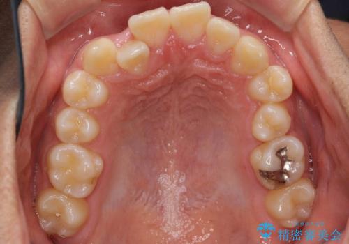
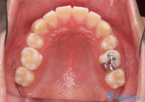
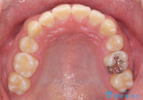
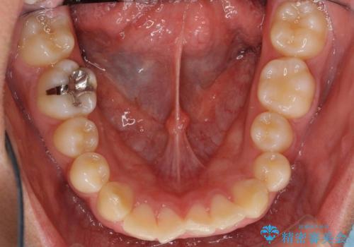
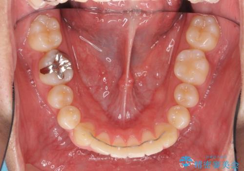
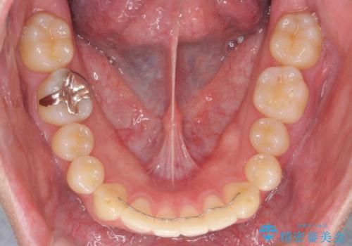
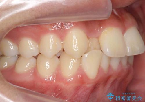
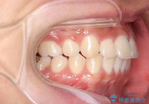
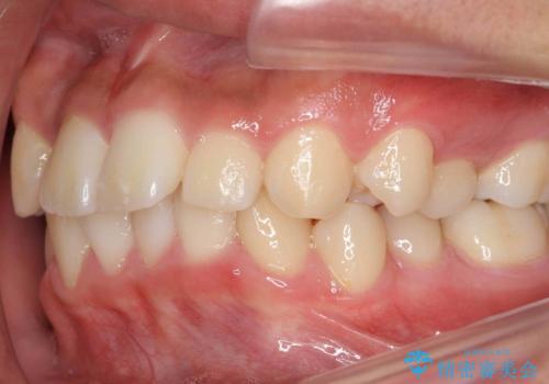
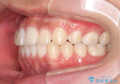
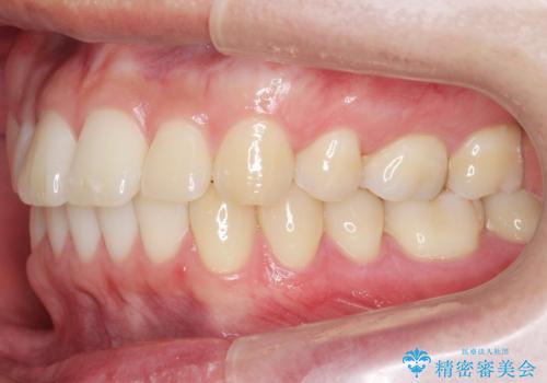
- ワイヤー矯正による治療後7年以上経過した患者様です。当時上の小臼歯を2本抜歯しています。
10代で矯正治療を行い、現在20代になられています。
矯正後8年目になりますが、並びも綺麗に保持でき、また上下の歯がさらにしっかり咬んできているのがわかります。
定期的にメンテナンスにきていただき、特に歯の健康状態にも問題がありません。
下は歯につけるタイプのワイヤーを貼っています。
上は取り外し式の装置を就寝時使っていただいています。
- 費用(概算)
- 88万円(矯正当時)費用は治療当時の料金となります
治療について
さしたる問題もなく、半年~1年に一度のメインテナンスにお越しになっている患者様です。保定装置については、慣れれば習慣化するためさほど負担ではありません。
矯正をしなくても起こる下の前歯のがたつきも予防でき、若々しい歯並びを維持することができます。
当院は矯正治療後も長くお付き合いいただき、健康で綺麗な歯並びを保つお手伝いをさせていただいております。
ワイヤー矯正の注意事項(リスク・副作用など)
- 治療中は違和感や痛みが起こることがあります
- 症状により、抜歯が必要な場合があります
- 治療中は歯磨きがしにくくなるため、虫歯や歯周病になりやすくなります
- 矯正治療後の保定が不十分だと後戻り(元の位置に戻ろうとする動き)をします
- 自費診療(保険適用外)となります
当サイトの内容、テキスト、画像等の無断転載、複製、複写、盗用を固く禁じます。

















