症例詳細
Case detail
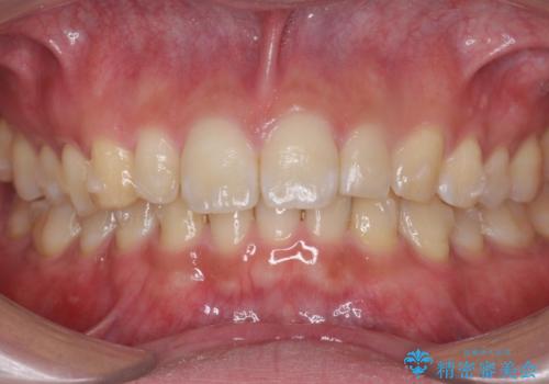
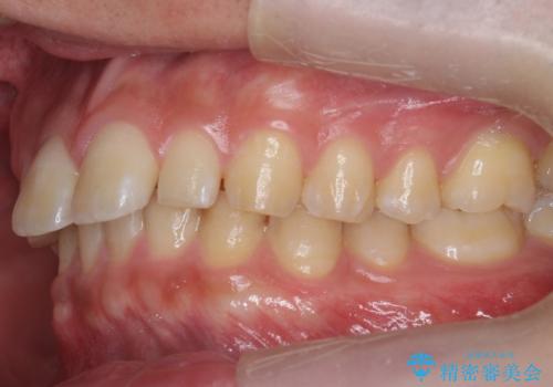
前歯のすき間 小さい歯がある 前歯の並びをきれいにしたい
治療症例の内容
- 診療科目
- 担当医
- 井上季実子(ドクタープロフィール)
- 患者様
- 20代男性
- 矯正装置
- インビザライン(マウスピース矯正)
- 治療期間
- 11ヶ月
- 治療回数
- 10-30回
- 治療計画
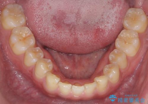
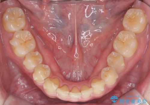
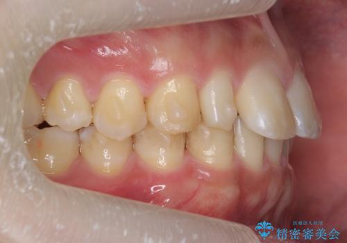
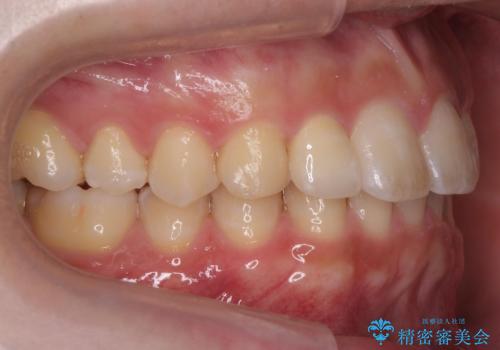
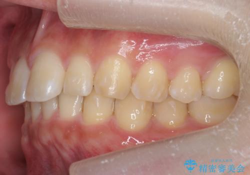
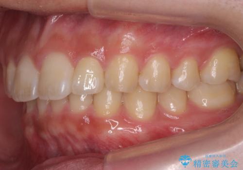
- 前歯のすき間を気にして来院。
前から2番目の歯が小さく厚みがあったため(矮小歯)
矯正治療で1番目の歯を寄せて2番目の歯はセラミックで形をととのえています。
- 費用(概算)
- 矯正治療費 93.5万円 (セラミック代別)費用は治療当時の料金となります
治療について
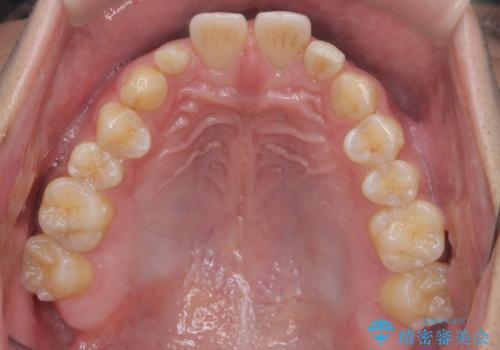
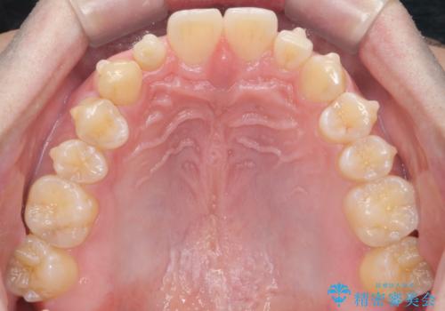
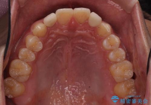
上下のかみこみがきつい場合で上にだけすき間がある場合は、上のすき間を閉じきるのは難しいことが多いです。
理由としては、すき間を閉じるには上の前歯は後ろに下がる形に動かないと無理なのですが、かみこみがきつい(かみ合わせがきつい、上下が深く咬んでいるともいいます)場合は、すぐ後ろに下の歯がかみこむためその動きができないためです。
さらに下の前歯にがたつきがある場合は下の前歯を後ろに下げること自体が難しくなるため、生まれつき歯の形が特殊な場合は、上のすき間を適切な位置にずらして、しかるべき歯にセラミッククラウンを被せて形態修正とスペースを埋めるというのが効率の良い治療方法と言えます。
マウスピース矯正の注意事項(リスク・副作用など)
- 口腔内・歯並びの状態によっては対応できない場合があります
- マウスピース型矯正装置の長時間装着(1日20時間以上)が必須です
- 治療計画通りに進めるためには、患者様の意志が重要になります
- 矯正治療後の保定が不十分だと後戻り(元の位置に戻ろうとする動き)をします
- 薬機法対象外の矯正歯科装置のため医薬品副作用被害救済制度の対象外となる場合があります
- 自費診療(保険適用外)となります
セラミック治療の注意事項(リスク・副作用など)
- 天然歯を削ります
- 硬い素材は天然歯を傷つけてしまう場合があります
- かみ合わせや歯ぎしりが強すぎる方はセラミックが割れてしまう可能性があります
- 自費診療(保険適用外治療)となります
当サイトの内容、テキスト、画像等の無断転載、複製、複写、盗用を固く禁じます。


















