症例詳細
Case detail
ジルコニアクラウン
治療症例の内容
- 診療科目
- 治療カテゴリ
- 担当医
- 青山卓弘(ドクタープロフィール)
- 患者様
- 20代男性
- 治療期間
- 1ヶ月
- 治療回数
- 2-5回
- 治療計画
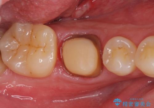
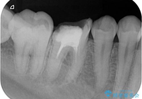
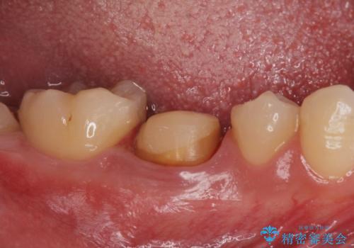
- 古い被せ物が取れたとの事で来院。
過去に根管治療がされている歯でしたが、現在症状はなく、レントゲンでも根尖病巣がないが根尖まで薬が到達していない状態でした。
そのまま被せ物だけやりかえるか根尖病巣の再発のリスクを考えて再根管治療を行うか患者様に決めて頂きました。
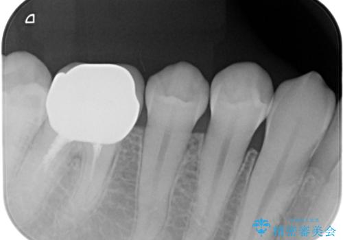
被せ物だけの治療を選択されましたのでジルコニアクラウンでの治療を行いました。
- 費用(概算)
- ジルコニアクラウンスタンダード・仮歯 12.1万円費用は治療当時の料金となります
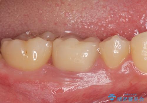
治療について
適合の良い被せ物が入りました。
セラミック治療の注意事項(リスク・副作用など)
- 天然歯を削ります
- 硬い素材は天然歯を傷つけてしまう場合があります
- かみ合わせや歯ぎしりが強すぎる方はセラミックが割れてしまう可能性があります
- 自費診療(保険適用外治療)となります
その他の注意事項(リスク・副作用など)
- 担当歯科医師、歯科衛生士又は医院スタッフから受けた説明・注意事項をよくご確認ください
- 医療を提供するに当たり、適切な説明を行い、患者様の十分な理解を得るよう努めております
当サイトの内容、テキスト、画像等の無断転載、複製、複写、盗用を固く禁じます。








