症例詳細
Case detail
転んで歯をぶつけてしまった:前歯の色と形を改善したい
治療症例の内容
- 診療科目
- 治療カテゴリ
- 担当医
- 患者様
- 30代女性
- 治療期間
- 5ヶ月
- 治療回数
- 10-30回
- 治療計画
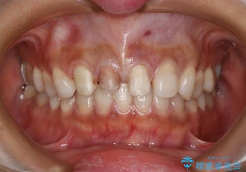
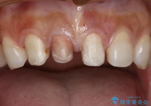
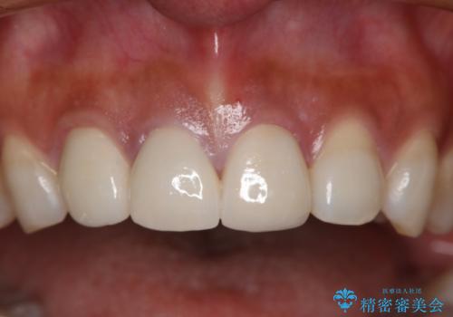
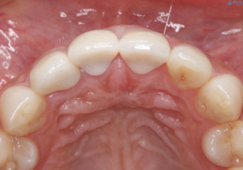
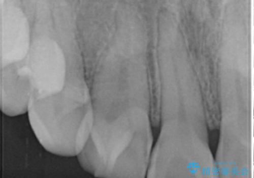
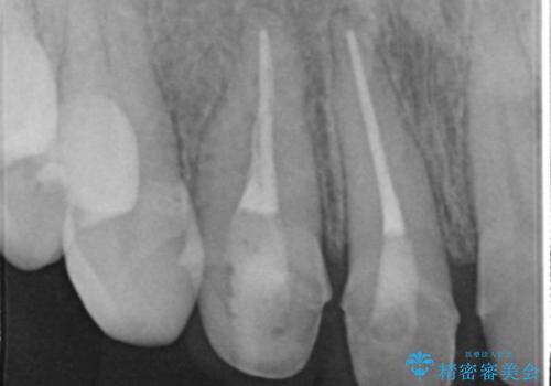
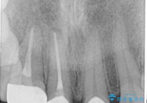
- 1週間ほど前に自転車で転倒して前歯をぶつけた後、歯の色が変わっていることが気になり受診された方です。診察の結果、失活及びエナメル質に多数の亀裂が認められたため、根管処置およびセラミッククラウンによる治療を行いました。元々右上2番目の歯の形が気になっていたとの事で、左右対称の形に近づけるように補綴しました。
- 費用(概算)
- 67万円(税込み)費用は治療当時の料金となります
治療について
左上1番目の歯は失活していませんでしたが、歯の表面に多数の亀裂が認められました。患者様のご希望により、前歯3本をまとめて補綴処置することとなりました。土台となる歯質の色が異なる状態でしたが、熟練した技工士さんの技術により3本とも同じ色味になるように仕上げていただきました。色味、形態ともに自然な被せ物に大変喜んでいただけました。
セラミック治療の注意事項(リスク・副作用など)
- 天然歯を削ります
- 硬い素材は天然歯を傷つけてしまう場合があります
- かみ合わせや歯ぎしりが強すぎる方はセラミックが割れてしまう可能性があります
- 自費診療(保険適用外治療)となります
当サイトの内容、テキスト、画像等の無断転載、複製、複写、盗用を固く禁じます。












