症例詳細
Case detail
【セラミッククラウン】昔入れた被せものの黒いところが気になる
治療症例の内容
- 診療科目
- 治療カテゴリ
- 担当医
- 町田睦月(ドクタープロフィール)
- 患者様
- 40代女性
- 治療期間
- 1ヶ月
- 治療回数
- 2-5回
- 治療計画
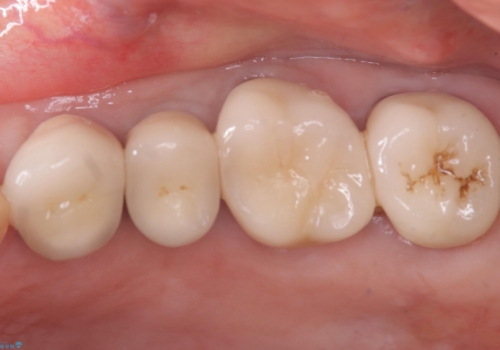
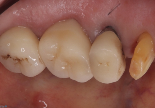
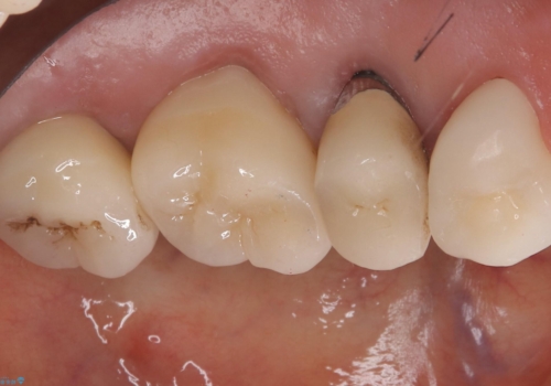
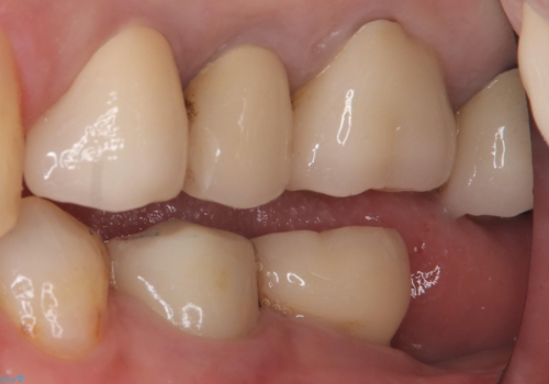
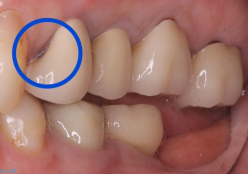
- 主訴:昔入れた被せものの境目の黒いところが気になる
クラウンの不適により境目に汚れが溜まり、黒く見えていました。
適合の良いクラウンへやり替えることとしました。
- 費用(概算)
- 132,000円(税込み)費用は治療当時の料金となります
治療について
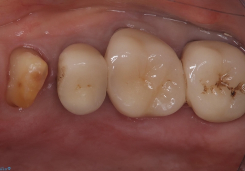
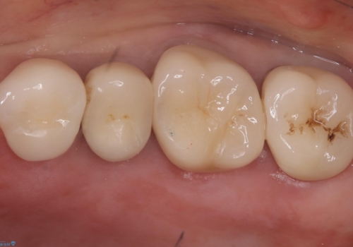
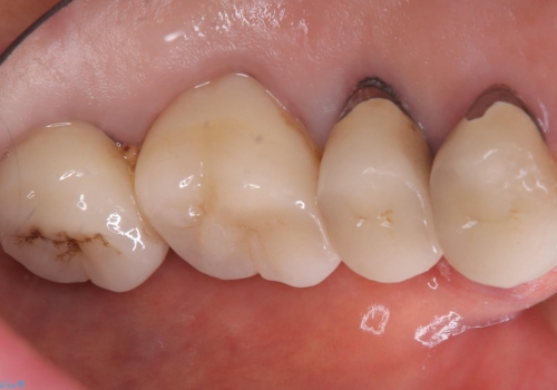
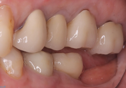
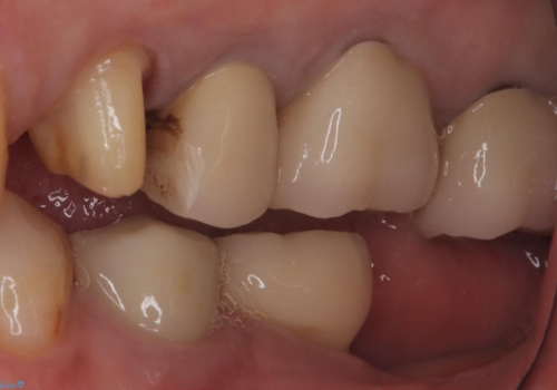
古いクラウンを除去し、不適部位から中で広がっていたカリエスを除去したのちCRにて築造、仮歯を経てセラミッククラウンをセットしています。
セラミック治療の注意事項(リスク・副作用など)
- 天然歯を削ります
- 硬い素材は天然歯を傷つけてしまう場合があります
- かみ合わせや歯ぎしりが強すぎる方はセラミックが割れてしまう可能性があります
- 自費診療(保険適用外治療)となります
当サイトの内容、テキスト、画像等の無断転載、複製、複写、盗用を固く禁じます。












