症例詳細
Case detail
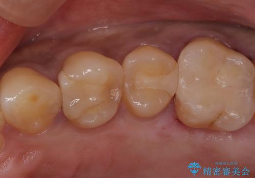
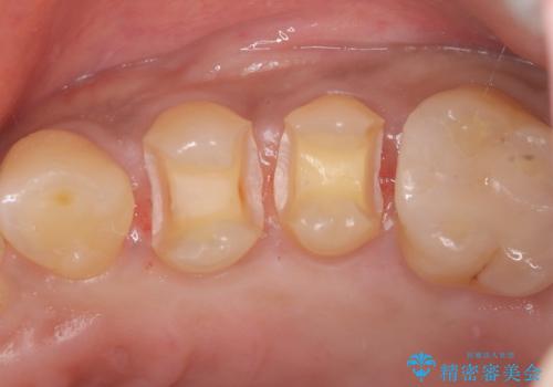
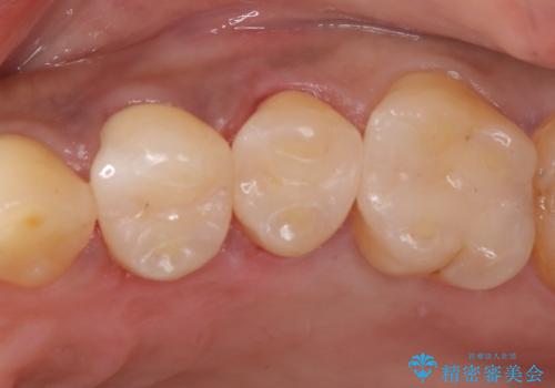
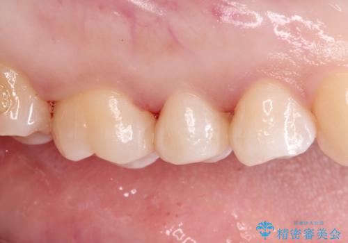
【セラミックインレー】虫歯になった詰め物部分を修復
治療症例の内容
- 診療科目
- 治療カテゴリ
- 担当医
- 河口智英(ドクタープロフィール)
- 患者様
- 30代女性
- 治療期間
- 1ヶ月
- 治療回数
- 2-5回
- 治療計画
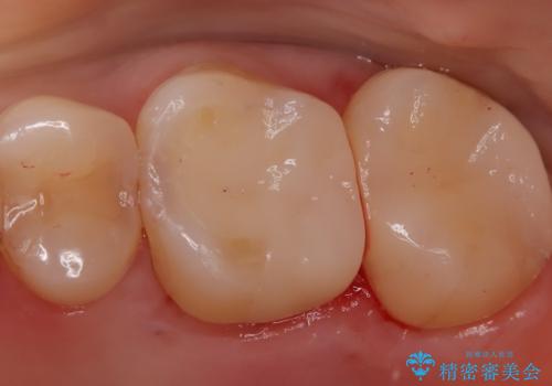
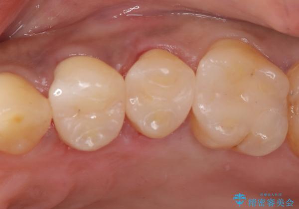
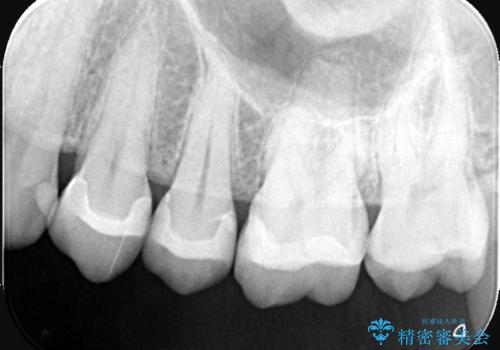
- 前医で治療された詰め物の部分に、定期検診で虫歯が見つかったため、セラミックインレーにて修復治療を行いました。
- 費用(概算)
- 14万円費用は治療当時の料金となります
治療について
接着時にはラバーダム防湿を行っています。
セラミック治療の注意事項(リスク・副作用など)
- 天然歯を削ります
- 硬い素材は天然歯を傷つけてしまう場合があります
- かみ合わせや歯ぎしりが強すぎる方はセラミックが割れてしまう可能性があります
- 自費診療(保険適用外治療)となります
当サイトの内容、テキスト、画像等の無断転載、複製、複写、盗用を固く禁じます。





