症例詳細
Case detail
奥歯に歯を入れたい。インプラント治療
治療症例の内容
- 担当医
- 高悠莉(ドクタープロフィール)
- 患者様
- 40代女性
- 治療期間
- 7ヶ月
- 治療回数
- 5-10回
- 治療計画
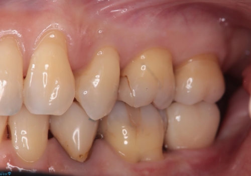
- 元々、口の中をメタルフリーにする治療がしたいとのことで来院されていた患者様です。上下の噛み合う力が強く、咬合力の負担を少しでも分散させるため、喪失していた左下の奥歯にインプラントを埋入することを提案いたしました。また今回、左下の奥歯が喪失したことにより、対合の右上の奥歯が下に向かって挺出し(伸び)てしまっていました。そのため、左下のインプラントを入れようとすると、そのままでは高さが確保できません。そのため患者様と相談して、左下のインプラントを入れる前に、左上の奥歯にクラウンをかぶせる治療を行いました。
- 費用(概算)
- 605,000円(税込)費用は治療当時の料金となります
メンテナンスについて
治療が一段落したら、当院では患者様に歯周病のチェックや虫歯が増えていないかの確認もかねて、3か月に一度クリーニングにご来院いただくことが多いです。インプラントを入れた後も、しっかりとアフターケアをさせていただいております。
セラミック治療の注意事項(リスク・副作用など)
- 天然歯を削ります
- 硬い素材は天然歯を傷つけてしまう場合があります
- かみ合わせや歯ぎしりが強すぎる方はセラミックが割れてしまう可能性があります
- 自費診療(保険適用外治療)となります
インプラント治療の注意事項(リスク・副作用など)
- 外科手術のため、術後に痛みや腫れ、違和感を伴います
- メンテナンスを怠ったり喫煙により、お口の中に大きな悪影響を及ぼすインプラント周囲炎等にかかる可能性があります
- 糖尿病、肝硬変、心臓病等の場合、インプラント治療ができない可能性があります
- 高血圧、貧血・不整脈等の場合、インプラント治療後に治癒不全を招く可能性があります
- 自費診療(保険適用外治療)となります
当サイトの内容、テキスト、画像等の無断転載、複製、複写、盗用を固く禁じます。
















