症例詳細
Case detail
割れてしまった奥歯 セラミックブリッジ治療
治療症例の内容
- 診療科目
- 治療カテゴリ
- 担当医
- 大元洋佑(ドクタープロフィール)
- 患者様
- 30代女性
- 治療期間
- 4ヶ月
- 治療回数
- 5-10回
- 治療計画
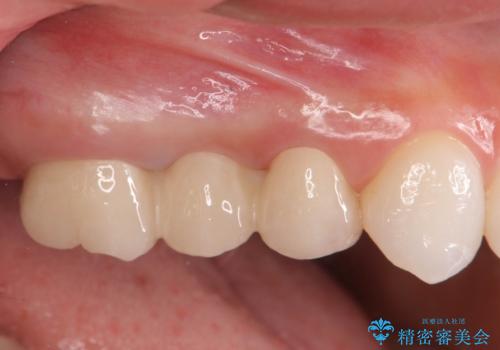
- 「奥歯のクラウンが取れてしまったので診てほしい。」とセラミック治療を希望され来院されました。
診査を行ったところ、クラウンの取れた歯は、割れてしまっており再度クラウン装着が難しい状況でした。
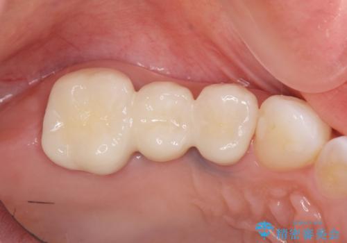
抜歯を行ったのち、ブリッジ製作を行うことで咬合機能の回復を計画します。
- 費用(概算)
- 39.6万円(ジルコニアクラウン×3・仮歯×3)費用は治療当時の料金となります
治療について
ジルコニアブリッジは、インプラントと違い手術の必要がなく審美的に咬合機能の回復ができる補綴手段です。
セラミック治療の注意事項(リスク・副作用など)
- 天然歯を削ります
- 硬い素材は天然歯を傷つけてしまう場合があります
- かみ合わせや歯ぎしりが強すぎる方はセラミックが割れてしまう可能性があります
- 自費診療(保険適用外治療)となります
当サイトの内容、テキスト、画像等の無断転載、複製、複写、盗用を固く禁じます。










