症例詳細
Case detail
【1Dayインプラント治療! 低侵襲で短期間での治療】 咬むと歯が痛い! 歯根破折
治療症例の内容
- 患者様
- 70代男性
- 治療期間
- 3ヶ月
- 治療回数
- 2-5回
- 治療計画
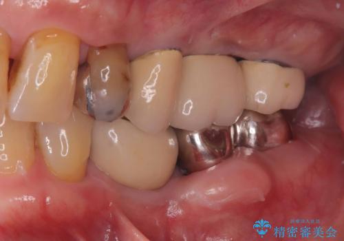
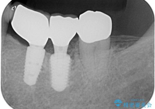
- 「歯を咬むと痛い」を主訴に来院された患者様です。 CTを撮ると歯根が縦に真っ二つに割れている状態で、歯周ポケットも10㎜を超える状態でした。
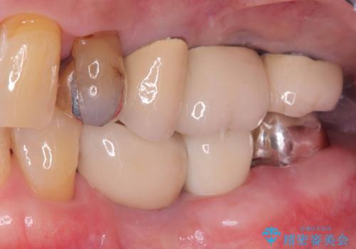
歯の保存は困難と診断しインプラントで治療を行いました。1Dayインプラントの適応だったので、抜歯した当日にインプラントを埋入しました。
1Dayインプラントは低侵襲なので痛みもほとんどありません。従来のインプラント治療だと1年弱かかるのが、3ヵ月で治療を終える事が出来ました。
- 費用(概算)
- 550,000円費用は治療当時の料金となります
治療について
1Dayインプラントとは抜歯と同時にインプラントを埋入する治療です。
従来のインプラント治療よりも低侵襲かつ短期間で治療を終える事が出来ます。
術後痛みも無く、3ヵ月で治療を終える事が出来ました。
セラミック治療の注意事項(リスク・副作用など)
- 天然歯を削ります
- 硬い素材は天然歯を傷つけてしまう場合があります
- かみ合わせや歯ぎしりが強すぎる方はセラミックが割れてしまう可能性があります
- 自費診療(保険適用外治療)となります
インプラント治療の注意事項(リスク・副作用など)
- 外科手術のため、術後に痛みや腫れ、違和感を伴います
- メンテナンスを怠ったり喫煙により、お口の中に大きな悪影響を及ぼすインプラント周囲炎等にかかる可能性があります
- 糖尿病、肝硬変、心臓病等の場合、インプラント治療ができない可能性があります
- 高血圧、貧血・不整脈等の場合、インプラント治療後に治癒不全を招く可能性があります
- 自費診療(保険適用外治療)となります
当サイトの内容、テキスト、画像等の無断転載、複製、複写、盗用を固く禁じます。















