症例詳細
Case detail
【オールセラミッククラウン】根管治療も行いたい。
治療症例の内容
- 診療科目
- 治療カテゴリ
- 担当医
- 河口智英(ドクタープロフィール)
- 患者様
- 30代女性
- 治療期間
- 治療回数
- 2-5回
- 治療計画
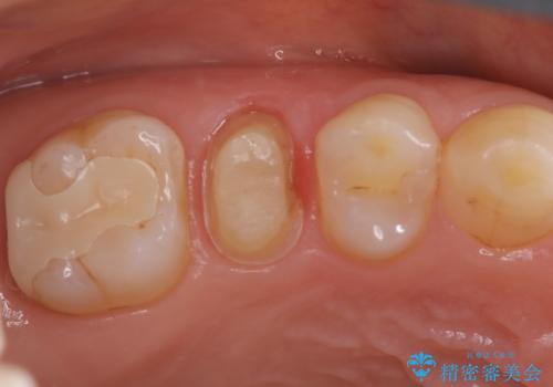
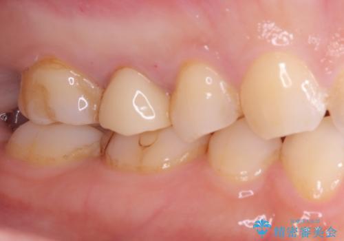
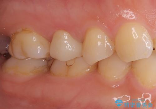
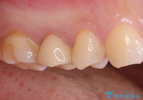
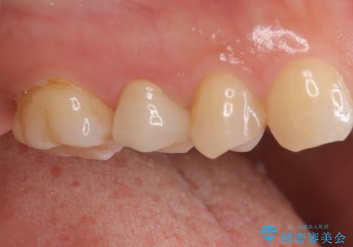
- 右上の歯が、噛むと痛いことを主訴に来院されました。
ラバーダムと顕微鏡を用いた根管治療を希望され、治療後は痛みも改善することができました。
その後、オールセラミッククラウンにて修復を行っています。
- 費用(概算)
- 26万円費用は治療当時の料金となります
治療について
顕微鏡を用いて根管治療を行うことで、破折の有無などを判断しやすくなります。
セラミック治療の注意事項(リスク・副作用など)
- 天然歯を削ります
- 硬い素材は天然歯を傷つけてしまう場合があります
- かみ合わせや歯ぎしりが強すぎる方はセラミックが割れてしまう可能性があります
- 自費診療(保険適用外治療)となります
根管治療の注意事項(リスク・副作用など)
- 根管治療により類似の全ての症例の問題が解決するわけではなく、症例はあくまでも一例です
- 根管治療により痛みや腫れがひかない事や、術後に痛みや腫れが生じる事、治療によるファイル破折やパーフォレーションなどの偶発症、術後の歯根破折を生じる可能性もあります
- 自費診療(保険適用外)となります
当サイトの内容、テキスト、画像等の無断転載、複製、複写、盗用を固く禁じます。










