症例詳細
Case detail
【セラミックインレー】神経の近くまで達する深い虫歯!
治療症例の内容
- 診療科目
- 治療カテゴリ
- 担当医
- 河野豊嘉(ドクタープロフィール)
- 患者様
- 20代男性
- 治療期間
- 治療回数
- 2-5回
- 治療計画
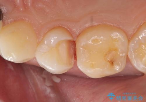
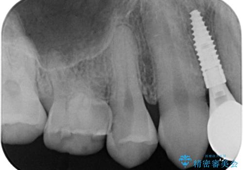
- 「歯がたまに痛む」を主訴に来院された患者様です。 見た目では齲窩が無いように見えますが、レントゲンを撮ると神経の近くまで達する深い虫歯だとわかりました。
虫歯を除去後セラミックインレーで治療を行いました。隣の子どもの歯のEも虫歯になっていたので同時に治療を行いました。
- 費用(概算)
- 77,000円費用は治療当時の料金となります
治療について
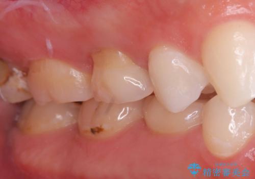
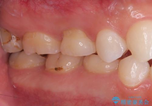
神経の近くまで虫歯が広がっていましたが、神経を保存して治療を行うことが出来ました。
見た目も凄く綺麗になり痛みも無く経過も良好なので、患者様も大変ご満足されていました。
Eに関してはCRで修復を行っています。
歯の寿命を延ばすためには、適合が良く、劣化が無い材料が優れています。セラミックインレーはそれに適した治療です。
セラミック治療の注意事項(リスク・副作用など)
- 天然歯を削ります
- 硬い素材は天然歯を傷つけてしまう場合があります
- かみ合わせや歯ぎしりが強すぎる方はセラミックが割れてしまう可能性があります
- 自費診療(保険適用外治療)となります
当サイトの内容、テキスト、画像等の無断転載、複製、複写、盗用を固く禁じます。







