症例詳細
Case detail
【外科的歯内療法】根管治療をしても違和感が残る
治療症例の内容
- 診療科目
- 治療カテゴリ
- 担当医
- 河口智英(ドクタープロフィール)
- 患者様
- 30代女性
- 治療期間
- 治療回数
- 2-5回
- 治療計画
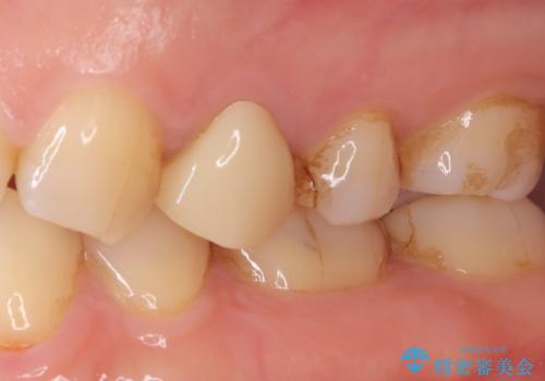
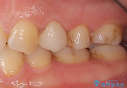
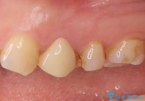
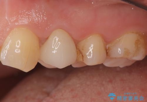
- 他院で昔に根管治療を行ったが、歯肉を押したときの痛みと普段の違和感が残ったままであることを主訴に来院されました。
以前治療した病院では、再根管治療を行わずに歯根端切除のみでの対応を進められたが、治療方針に納得できず当院を受診されました。
治療介入における意思決定が重要となるケースでしたが、患者と相談して①再根管治療→②外科的歯内療法という流れで治療を行いました。
再根管治療を優先した理由としては、破折診断と、当時の治療においてラバーダムや顕微鏡を使用してないとの話があったためです。
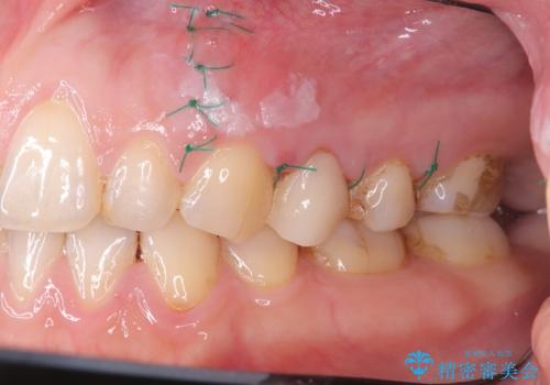
結果、根管内にはイスムスにデブリが多く見られたものの破折線は確認できませんでした。再根管治療後、症状の経過を3ヶ月ほど確認しましたが打診、違和感が消失しておらず、外科的歯内療法を行うこととなりました。
違和感という主訴に対しては、非歯原生疼痛の可能性も考慮し、専門医院への対診を優先して行うことがありますが、今回は打診が陽性だったため、患者さまの希望もあり外科を行いました。
結果、症状改善し治癒良好と判断できます。
- 費用(概算)
- 31万円費用は治療当時の料金となります
治療について
歯根端切除術後は1週間ほど痛むことがあります。
セラミック治療の注意事項(リスク・副作用など)
- 天然歯を削ります
- 硬い素材は天然歯を傷つけてしまう場合があります
- かみ合わせや歯ぎしりが強すぎる方はセラミックが割れてしまう可能性があります
- 自費診療(保険適用外治療)となります
外科処置の注意事項(リスク・副作用など)
- 外科手術のため、術後に出血、痛みや腫れ、違和感を伴います
- 口腔内の状態によっては適応できないことがあります
当サイトの内容、テキスト、画像等の無断転載、複製、複写、盗用を固く禁じます。











