症例詳細
Case detail
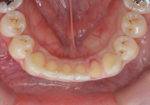
下の前歯が欠けている セラミックで審美的に エアフローで着色除去も
治療症例の内容
- 診療科目
- 治療カテゴリ
- 担当医
- 井上季実子(ドクタープロフィール)
- 患者様
- 20代男性
- 治療期間
- 1ヶ月
- 治療回数
- 2-5回
- 治療計画
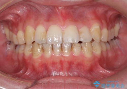
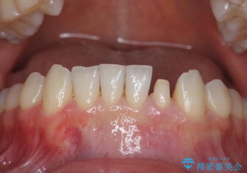
- 左下の前歯が削れて欠けているとのことで、治療希望されました。
プラスチックで詰めたものが度々取れてしまうとのこと。
しみないようであれば機能的にはそこまで問題はないと説明しましたが、審美的な治療をご希望でした。
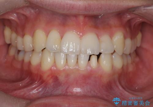
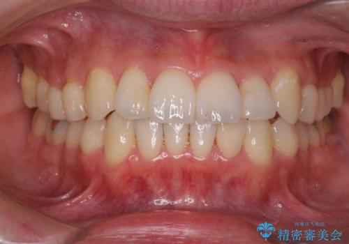
プラスチックの詰め物と比較して、変色もなく、脱離もしにくいセラミッククラウンで修復しました。
前歯のステインはエアフローという方法で綺麗にクリーニングしています。
- 費用(概算)
- 16.5万円(仮歯1.1万円、セラミッククラウン(ジルコニアクラウン・スペシャル)15.4万円) エアフロー代別(1時間/1.1万円)費用は治療当時の料金となります
治療について
矯正治療前のかみ合わせのせいでかなり削れてしまっていたようです。その場合、矯正治療後に修復するのがおすすめです。
また、クラウンに修復するメリットとして、そのまま使っていると欠けているせいで薄い歯質がうすくなり、さらに割れてしまうリスクを防止することができます。
セラミック治療の注意事項(リスク・副作用など)
- 天然歯を削ります
- 硬い素材は天然歯を傷つけてしまう場合があります
- かみ合わせや歯ぎしりが強すぎる方はセラミックが割れてしまう可能性があります
- 自費診療(保険適用外治療)となります
当サイトの内容、テキスト、画像等の無断転載、複製、複写、盗用を固く禁じます。







