症例詳細
Case detail
マイクロインプラントを使用して抜歯を回避!八重歯の非抜歯インビザライン治療
治療症例の内容
- 診療科目
- 治療カテゴリ
- 担当医
- 福本健生(ドクタープロフィール)
- 患者様
- 20代女性
- 矯正装置
- インビザライン
- 治療期間
- 2年
- 治療回数
- 10-30回
- 治療計画
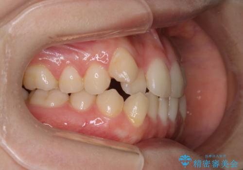
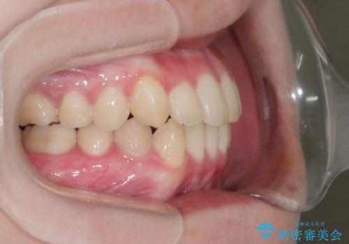
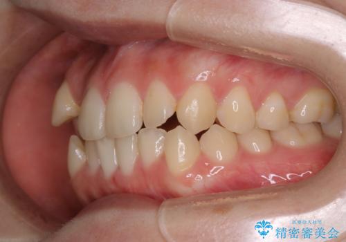
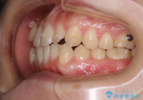
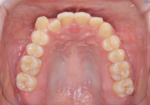
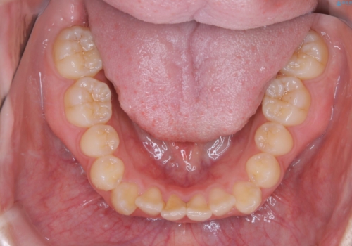
- 非抜歯、インビザライン治療希望の患者様です。
右の犬歯が八重歯になっており、通常であれば抜歯を選択する可能性が高くなりますが、
マイクロインプラントと呼ばれる骨に打ち込むネジを使用し、非抜歯での治療計画を立てました。
- 費用(概算)
- 94万円費用は治療当時の料金となります
治療について
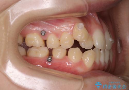
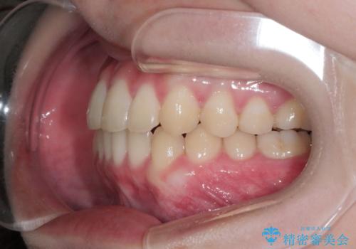
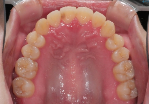
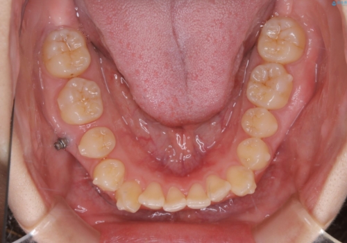
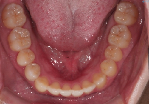
マイクロインプラントを使用することで非抜歯での治療が可能となりました。
マイクロインプラントを使用せずに無理に非抜歯治療を行った場合、
治療後に出っ歯になってしまうなどの問題が起きる可能性が高いです。
マウスピース矯正の注意事項(リスク・副作用など)
- 口腔内・歯並びの状態によっては対応できない場合があります
- マウスピース型矯正装置の長時間装着(1日20時間以上)が必須です
- 治療計画通りに進めるためには、患者様の意志が重要になります
- 矯正治療後の保定が不十分だと後戻り(元の位置に戻ろうとする動き)をします
- 薬機法対象外の矯正歯科装置のため医薬品副作用被害救済制度の対象外となる場合があります
- 自費診療(保険適用外)となります
当サイトの内容、テキスト、画像等の無断転載、複製、複写、盗用を固く禁じます。















