症例詳細
Case detail
前歯が内側に入っている:インビザライン治療
治療症例の内容
- 担当医
- 患者様
- 20代女性
- 矯正装置
- インビザラインFULL
- 治療期間
- 4年4ヶ月
- 治療回数
- 30回以上
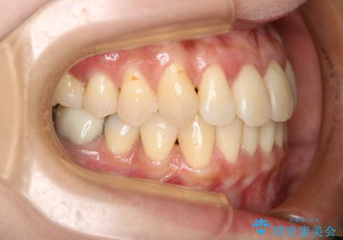
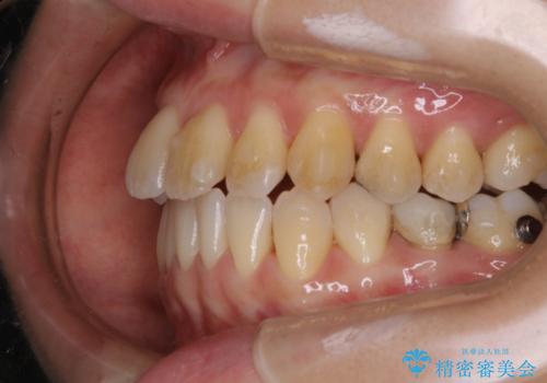
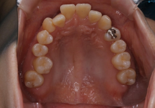
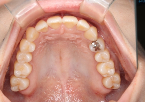
- 治療計画
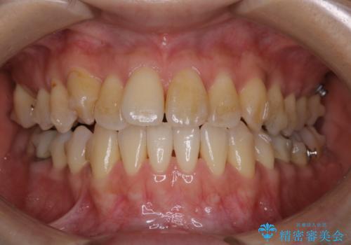
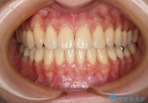
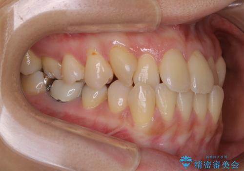
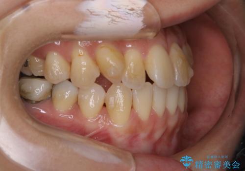
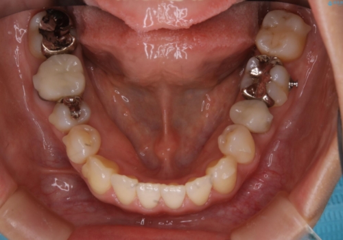
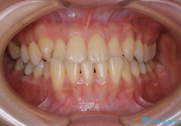
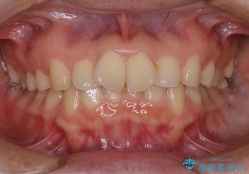
- 上の前歯は内側に入っていることが気になりご相談にいらした方です。インビザラインにて治療を行いました。
- 費用(概算)
- 88万円(税込み)費用は治療当時の料金となります
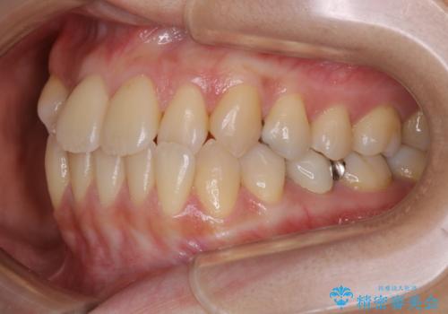
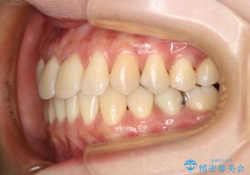
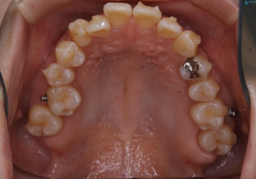
治療について
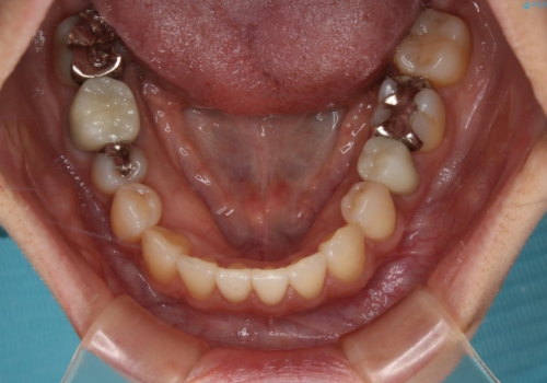
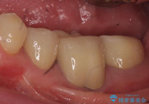
1週間でのマウスピース交換を指示していましたが、20時間以上使えない時があると不安との事で、2週間ごとの交換にしていました(実際はほとんど20時間以上使用できていたようです)。治療終了まで時間はかかりましたが、最終的に綺麗に並べることができ、大変喜んでいただけました。
マウスピース矯正の注意事項(リスク・副作用など)
- 口腔内・歯並びの状態によっては対応できない場合があります
- マウスピース型矯正装置の長時間装着(1日20時間以上)が必須です
- 治療計画通りに進めるためには、患者様の意志が重要になります
- 矯正治療後の保定が不十分だと後戻り(元の位置に戻ろうとする動き)をします
- 薬機法対象外の矯正歯科装置のため医薬品副作用被害救済制度の対象外となる場合があります
- 自費診療(保険適用外)となります
当サイトの内容、テキスト、画像等の無断転載、複製、複写、盗用を固く禁じます。



















