症例詳細
Case detail
【非抜歯】インビザラインで正しい噛み合わせを
治療症例の内容
- 患者様
- 20代 女性
- 矯正装置
- マウスピース(インビザライン)
- 治療期間
- 1年6ヶ月
- 治療回数
- 10-30回
- 治療計画
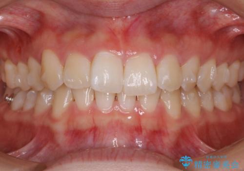
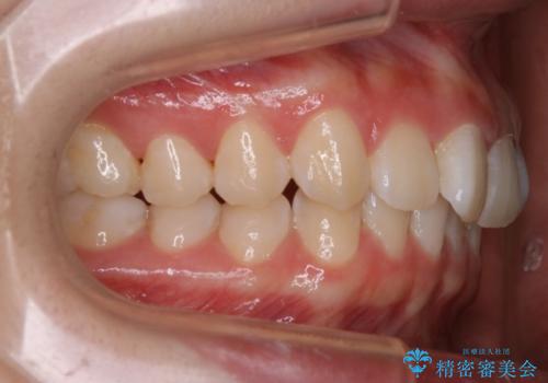
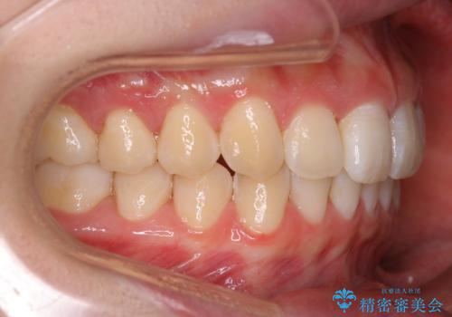
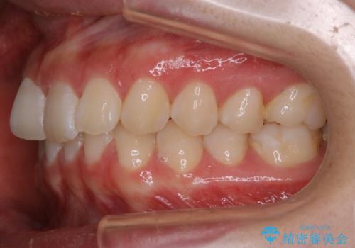
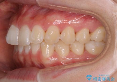
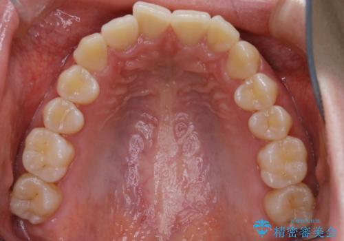
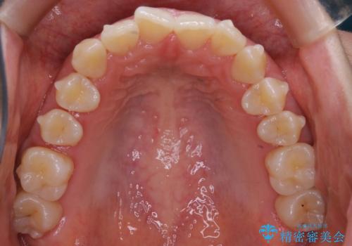
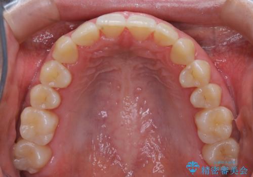
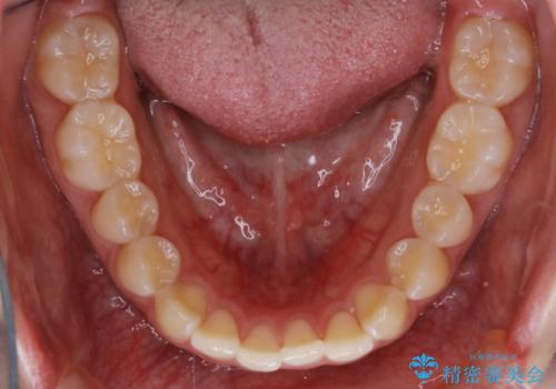
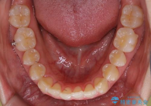
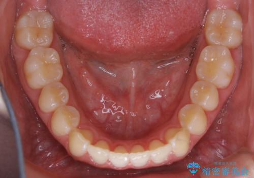
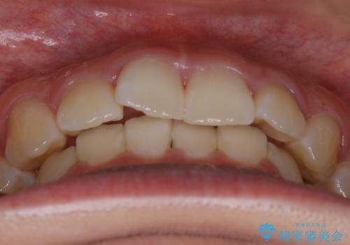
- 初診時、前歯のガタつきを主訴にご来院されました。
精密検査の結果奥歯の噛み合わせのズレからくる前歯のガタつきであることが分かり、患者様と相談した結果、全体をしっかりと治療することをご選択なさったので奥歯から動かして噛み合わせと見た目の両方を治す治療プランとなりました。
下顎の歯は幸いガタつきが少なかったため、下顎を基準とし構成する方針としました。
- 費用(概算)
- 税込 ¥880,000- (インビザライン コンプリヘンシブパッケージ)費用は治療当時の料金となります
噛み合わせの治療
初診時の写真では一見噛み合わせには問題がないように見えても、実際に精密な検査を行うと改善すべき点が見つかる場合も多くあります。
当院では、矯正治療は見た目の改善が主目的ではなく機能面を改善し自然に長持ちする口腔内環境を整えることに重きを置く必要があると考えます。
しかしながら、こちらの理想だけを押し付けるだけが良い治療とは言えないので、患者様と治療のゴールの設定をよく話し合ったうえで方針を決定していくことが最も重要です。
マウスピース矯正の注意事項(リスク・副作用など)
- 口腔内・歯並びの状態によっては対応できない場合があります
- マウスピース型矯正装置の長時間装着(1日20時間以上)が必須です
- 治療計画通りに進めるためには、患者様の意志が重要になります
- 矯正治療後の保定が不十分だと後戻り(元の位置に戻ろうとする動き)をします
- 薬機法対象外の矯正歯科装置のため医薬品副作用被害救済制度の対象外となる場合があります
- 自費診療(保険適用外)となります
当サイトの内容、テキスト、画像等の無断転載、複製、複写、盗用を固く禁じます。



















